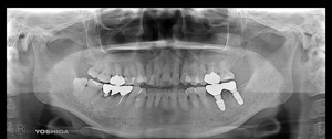
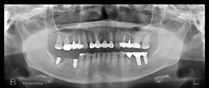
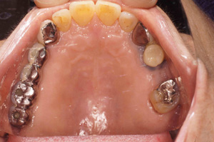
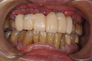
ai

гŽÒ—l‚̺

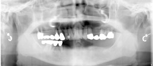
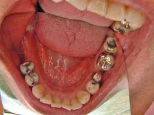
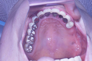
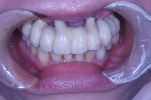
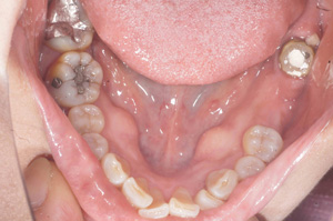
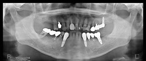
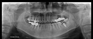
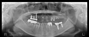
`ƒCƒ“ƒvƒ‰ƒ“ƒgŽèp‚ðŽÀۂɑ̌±‚³‚ê‚½Š³ŽÒ—l`

ƒCƒ“ƒvƒ‰ƒ“ƒgŽ¡—ªpŒã‚P”NˆÈã—ÇD‚ÉŒo‰ß‚µAˆÀ’肵‚½ó‹µ‚ƂȂèA

‚Rƒ–ŒŽ–ˆ‚̃ƒCƒ“ƒeƒiƒ“ƒXŽ¡—Êú‚É“ü‚ç‚ê‚½Š³ŽÒ—l‚ÉA

“–ˆã‰@‚̃Aƒ“ƒP[ƒg‚É‚¨“š‚¦‚¢‚½‚¾‚¢‚Ä‚¨‚è‚Ü‚·B

‹Md‚È‚¨ŽžŠÔ‚ð”ï‚₵‚Ä‚¢‚½‚¾‚«A^•‚É‚¨“š‚¦‚¢‚½‚¾‚¢‚½ŠF—l‚É

S‚æ‚èŒä—ç\‚µã‚°‚Ü‚·B           2025.  12. 13. up dated 

@

‚O‚O‚P

@


@@R.S‚³‚ñ@56Î —«  ‘åŠw‹³Žö @Žèp“ú@‚Q‚O‚O‚W”N ‚QŒŽ ‚X“úi“yj@㉺Š{  ƒm[ƒxƒ‹ƒKƒCƒhŽg—p@Ö¬“à’ÁÖ@•¹—p@@@ 

@@@@@ãŠ{  All on ‚U@‘¦Žž‰Ád@@

@@@@@@@@@@@@@ Rpl Tapered Rp  ‚P‚O mm(‚U–{)

@@@@@‰ºŠ{¶‰E@‘¦Žž‰Ád@ ‚R Unit Bridge@   

@@@@@@@@@@@ @Rpl Tapered Rp  ‚P‚O mm(‚S–{)@@–ƒWƒ‹ƒRƒjƒAƒNƒ‰ƒEƒ“‚ÅÅI•â’Ô

@

‚O‚O‚Q

@
@A.Y.‚³‚ñ@31Î —«  ƒfƒUƒCƒi[@Žèp“ú@
‚Q‚O‚O‚W”N ‚TŒŽ‚P‚Q“úiŒŽj@‰ºŠ{
ƒm[ƒxƒ‹ƒKƒCƒhŽg—p

      @@    ‰ºŠ{ ‚Q–{@”‚R‚UE”‚S‚U•”@’x‰„‰Ád    

                      @   ”‚R‚U  Rpl Tapered Rp ‚SD‚Rmm ~ ‚P‚O mm@@@@”‚S‚U  Rpl Tapered Rp ‚SD‚Rmm ~ ‚P‚O mm

@

‚O‚O‚R

@
  @S.Y‚³‚ñ@ 65Π @’j«@Ž©‰c@@Žèp“ú@‚Q‚O‚O‚W”N@‚UŒŽ‚P‚V“úi‰Îj  ㉺Š{ƒm[ƒxƒ‹ƒKƒCƒhŽg—p@Ö¬“à’ÁÖ@•¹—p

   @@@ ㉺Š{  All on ‚U@‘¦Žž‰×d

                  @    @Rpl Tapered Rp ‚P‚O mm(‚V–{)  @ Rpl Tapered Rp  ‚P‚R mm(‚T–{)@

@

@

‚O‚O‚S

@
@K.K ‚³‚ñ@  72Î @—«@Žå•w      Žèp“ú@‚Q‚O‚O‚W”N@‚XŒŽ ‚X“úi‰Îj  ‰ºŠ{ƒm[ƒxƒ‹ƒKƒCƒhŽg—p@Ö¬“à’ÁÖ@•¹—p@

@@@@‰ºŠ{  All on ‚W@‘¦Žž‰×d

            @@Rpl Tapered Rp‚SD‚O ~‚P‚O mm(‚S–{)@   Bmk MK‡V Rp‚RD‚V‚T ~ ‚WD‚T mm(‚R–{)       Bmk MK‡V Rp‚RD‚V‚T ~ ‚V mm

@

@

‚O‚O‚T

 
@ K.I ‚³‚ñ@ 61Î @—«@ƒWƒƒƒYƒ{[ƒJƒŠƒXƒgi“Œ‹žj@@Žèp“ú@
‚Q‚O‚O‚W”N@‚P‚OŒŽ‚P‚S“úi‰Îj  ƒm[ƒxƒ‹ƒKƒCƒhŽg—p@

  @@@@‰ºŠ{ ‚Q–{@”‚Q‚VE”‚Q‚W•”@‘¦Žž‰×d@@

                                    Bmk MK‡V Rp‚RD‚V‚T ~ ‚WD‚T mm(‚Q–{)  

@

@

‚O‚O‚U

@
 @Y.T‚³‚ñ@ 56Π  —«@Ž©‰c‹Æ@Žèp“ú@‚Q‚O‚O‚W”N@‚P‚PŒŽ‚P‚W“úi‰Îj  ㉺Š{ƒm[ƒxƒ‹ƒKƒCƒhŽg—p@Ö¬“à’ÁÖ@•¹—p

@@ @ãŠ{ ‚R–{@ ‚SUnit Bridge with Socket Lift  ’x‰„‰×d    

@@@@@@@@Nobel Rpl Tapered Groovy Wp ‚WD‚O mm@@Nobel Speedy Groovy Rp ‚WD‚T mm @@Nobel Rpl Tapered Groovy ‚UD‚OƒÓ ‚P‚O mm

@@@  ‰ºŠ{@All on ‚V  ‘¦Žž‰×d@

                 Rpl Tapered  Rp ‚P‚O mm (‚V–{) 
 

@

@

‚O‚O‚V

  
@S.J‚³‚ñ@ 66Î@—«  Žå•w@@Žèp“ú@
‚Q‚O‚O‚W”N‚P‚PŒŽ‚Q‚T“úi‰Îj  ãŠ{ƒm[ƒxƒ‹ƒKƒCƒhŽg—p@

@@@@@ ãŠ{ ‚P–{@”‚P‚U•”@with Socket Lift  ’x‰„‰×d@ @

                            Rpl Tapered Groovy Wp ‚P‚O mm

@

@

‚O‚O‚W

  
@S.O‚³‚ñ@82Π —«@Žå•w   Žèp“ú@
‚Q‚O‚O‚X”N ‚QŒŽ ‚Q“úiŒŽj  ‰ºŠ{ƒm[ƒxƒ‹ƒKƒCƒhŽg—p@

@    @@‰ºŠ{ ‚Q–{@”‚Q‚UE”‚Q‚V•”@’x‰„‰×d@@

                         Rpl Tapered Groovy Wp ‚W mm@@Rpl Tapered Wp ‚P‚O mm

@

@

‚O‚O‚X

 
 
M.Y‚³‚ñ@69Π —«@Ž©‰c @Žèp“ú@
‚Q‚O‚O‚X”N@‚QŒŽ‚Q‚S“úi‰Îj  ㉺Š{ƒm[ƒxƒ‹ƒKƒCƒhŽg—p@Ö¬“à’ÁÖ@•¹—p@

@@@ãŠ{@All on ‚P‚O ‘¦Žž‰×d@@Rpl Tapered Np ‚P‚O mm(‚Q–{) @@@@@@   Rpl Tapered Groovy Np ‚P‚U mm(‚Q–{)   @ Rpl Tapered Groovy Rp ‚P‚R mm
@@@@@@@@@@@@@@@@@@@@@Rpl Tapered Groovy Rp ‚P‚U mm    @@     Rpl Tapered Wp ‚P‚U mm @@  @@@         Rpl Tapered ‚UD‚OƒÓ   ‚P‚O mm 
@@@@@@@@@@@@@@@@@@@@@Nobel-Speedy Groovy Rp ‚WD‚T mm         Nobel-Speedy Shorty Rp 

@@@‰ºŠ{@All on ‚U  ‘¦Žž‰×d@ @Rpl Tapered Np ‚P‚R mm  @@  Rpl Tapered Groovy Rp  ‚W mm @@@ @Rpl Tapered Groovy Rp ‚P‚O mm(‚Q)
@@@@@@@@@@@@@@@@@@@  @Rpl Tapered Rp ‚P‚R mm         Rpl Tapered Groovy Np ‚P‚R mm

@

@

‚O‚P‚O

 
  H.K‚³‚ñ 61Π —«@‰ïŽÐˆõ @Žèp“ú  
‚Q‚O‚O‚X”N ‚RŒŽ‚Q‚V“úi‹àj  ãŠ{ƒm[ƒxƒ‹ƒKƒCƒhŽg—p@Ö¬“à’ÁÖ@•¹—p

@@@  @ ãŠ{ ‚R–{@”‚P‚U•” with Socket Lift and GBR   ’x‰„‰×d@ 

                                        Nobel Speedy Groovy Rp ‚WD‚T mm

@@    @  @@@@@@@@”‚Q‚UE”‚Q‚V•”   ’x‰„‰×d

                                    @   Rpl Tapered Wp ‚P‚O mm (‚Q–{)
   
@

@

‚O‚P‚P

 
 
R.S‚³‚ñ@78Π —«@Žå•w @Žèp“ú@
‚Q‚O‚O‚X”N ‚SŒŽ‚P‚S“úi‰Îj  ㉺Š{ƒm[ƒxƒ‹ƒKƒCƒhŽg—p@Ö¬“à’ÁÖ@•¹—p

      ãŠ{ All on ‚W  ‘¦Žž‰×d

@@@  @@@@@             Rp‚Œ Tapered Groovy Np ‚P‚R mm (‚Q–{)@ @Rp‚Œ Tapered Groovy Rp ‚P‚O mm (‚R–{)
                                 Rp‚Œ Tapered Groovy Rp ‚P‚R mm (‚Q–{)@@  Rp‚Œ Tapered Groovy Rp ‚P‚U mm 

@   ‰ºŠ{ All on ‚V  ‘¦Žž‰×d 

@@@  @@@@@           @Rp‚Œ Tapered Groovy Np ‚P‚R mm (‚R–{)@ @Rp‚Œ Tapered Groovy Rp ‚P‚O mm (‚S–{)
                             

                       

@

‚O‚P‚Q

 
 
K.T‚³‚ñ@53Π —«@ƒtƒHƒgƒOƒ‰ƒtƒ@[iNYj  Žèp“ú@
‚Q‚O‚O‚X”N ‚SŒŽ‚Q‚S“úi‹àj @ãŠ{ƒm[ƒxƒ‹ƒKƒCƒhŽg—p 

  @@@ãŠ{‘OŽ••” ‚R–{@‘¦Žž‰×d

    @              @#‚P‚Q : Rpl Tapered Np ‚P‚R mm @   #‚P‚P : Rpl Tapered Groovy  Np ‚P‚O mm   @#‚Q‚P : Rpl Tapered Groovy  Rp ‚P‚R mm
@
@

@

‚O‚P‚R

@
@
C.T‚³‚ñ@83Î —«  Ž©—Rl

@

‚O‚P‚S

@
@
A.T‚³‚ñ@‚U‚QΠ —« Žå•w@Žèp“ú@‚Q‚O‚O‚X”N ‚UŒŽ‚Q‚R“úi‰Îj@ƒm[ƒxƒ‹ƒKƒCƒhŽg—p   Ö¬“à’ÁÖ@•¹—p

     @@       ãŠ{   All on ‚V  ’x‰„‰×d @   Rpl Tapered Groovy Rp ‚P‚O mm~‚RA ‚P‚R mm~‚PA ‚P‚U mm~‚P@
                                             @@ @@@    Nobel Speedy Groovy Shorty Rp~‚Q@@Nobel Speedy Groovy Rp ‚WD‚T mm~‚P

       @      @   ‰ºŠ{  All on  ‚U  ‘¦Žž‰×d       Rpl Tapered Groovy Np ‚P‚O mm~‚Q        Bmk Rp‚RD‚V‚T mm  ‚WD‚T mm~‚QA@‚P‚O mm~‚Q   

       @           @– ƒ`ƒ^ƒ“ƒtƒŒ[ƒ€EƒJƒ“ƒ`ƒŒƒo[•â‹­i“Á’j‰„’·ƒuƒŠƒbƒW‚ÅÅI•â’Ô

@

‚O‚P‚T

@
@
K‚³‚ñ @‚U‚QÎ —«@@Žå•w@@Žèp“ú ‚Q‚O‚O‚X”N ‚VŒŽ ‚V“úi‰Îj @‰ºŠ{ƒm[ƒxƒ‹ƒKƒCƒhŽg—p@Ö¬“à’ÁÕ¹—pišq“f”½ŽË‚ª‹­‚¢‚½‚ßj 

@@@     @‰ºŠ{ ‚Q–{    ’x‰„‰×d@”‚S‚TE‚S‚U•” @

                          Rpl Tapered Rp ~ ‚P‚O mm  @ Rpl Tapered Wp ~ ‚P‚O mm

@

‚O‚P‚U

@
@
E.A‚³‚ñ @‚U‚OÎ ’j«@‰ïŽÐŒo‰c@Žèp“ú@‚Q‚O‚O‚X”N ‚VŒŽ‚Q‚R“úi–Øj  ‰ºŠ{ƒm[ƒxƒ‹ƒKƒCƒhŽg—p ‘¦Žž‰×d

        @@      @ ‰ºŠ{ ‚Q–{@  #‚R‚RE#‚S‚R•”    

                             Rpl Tapered Groovy Rp ~ ‚P‚R mm (‚Q–{)

@

@

@

‚O‚P‚V

@
 
Y.M‚³‚ñ @54Î —«@‰ïŽÐˆõ@Žèp“ú  ‚Q‚O‚O‚X”N@‚WŒŽ‚Q‚X“úi“yj  ‰ºŠ{ƒm[ƒxƒ‹ƒKƒCƒhŽg—p 

                    ‰ºŠ{ ‚P–{@  #‚S‚V•”    ’x‰„‰×d  @

                            Rpl Tapered Wp ~ ‚P‚O mm

@@

@

@

@

‚O‚P‚W

@
 
K.O‚³‚ñ @‚S‚QÎ ’j«@ƒfƒUƒCƒi[@Žèp“ú@‚Q‚O‚P‚O”N  ‚PŒŽ‚Q‚Q“úi‹àj  ‰ºŠ{ƒm[ƒxƒ‹ƒKƒCƒhŽg—p@   Ö¬“à’ÁÖ@•¹—p

                        ‰ºŠ{ ‚Q–{@  ’x‰„‰×d@ 

                           #‚S‚U Rpl Tapered Wp ~ ‚P‚O mm @ #‚S‚V Rpl Tapered Groovy Wp ~ ‚W mm


@@

@

@

@

‚O‚P‚X

@
 
R.K‚³‚ñ @‚R‚PÎ —«@@‰ïŽÐˆõ@Žèp“ú   ‚Q‚O‚P‚O”N ‚TŒŽ‚Q‚X“úi“yj   ‰ºŠ{ƒm[ƒxƒ‹ƒKƒCƒhŽg—p@

         @@@@  ‰ºŠ{ ‚Q–{@”‚R‚UE”‚R‚V•”@’x‰„‰×d@@

@@@@@@@@@@@@@#‚R‚U Rpl Tapered Groovy Rp ~ ‚W mm@@#‚R‚V Rpl Tapered Groovy Rp ~ ‚W mm

@

@

@

@

‚O‚Q‚O

@
 
T.S‚³‚ñ 50Î —«@‰ïŽÐˆõ@Žèp“ú  ‚Q‚O‚P‚O”N ‚WŒŽ‚Q‚O“úi‹àj  ãŠ{ : All on ‚U @‰ºŠ{ : All on ‚T@ ƒm[ƒxƒ‹ƒKƒCƒhŽg—p Ö¬“à’ÁÖ@•¹—p@

@@ãŠ{@All on ‚U@’x‰„‰×d

@@@  @@@@@@”‚P‚U@Nb Speedy Shorty Groovy Rp @@ @    ”‚P‚S Rpl  Tapered Groovy Rp ~ ‚W mm@@@@”‚P‚Q Rpl  Tapered Groovy Np ~ ‚W mm
@@@@ @@@@@ ”‚Q‚Q@Rpl  Tapered Groovy Np  ~ ‚W mm@@ ”‚Q‚S Rpl  Tapered Groovy Np  ~ ‚W mm@@@  ”‚Q‚U Nb Speedy Shorty Groovy Rp 

@@‰ºŠ{@All on ‚T   ’x‰„‰×d 

@@@  @@@@@@”‚R‚U@Bmk MK‡V Rp ‚RD‚V‚T ~ ‚W mm             ”‚R‚S Rpl  Tapered Groovy Rp ~ ‚W mm@@@  @”‚R‚Q Bmk MK‡V Rp ‚RD‚V‚T ~ ‚P‚R mm
@@@@ @@@@@ ”‚S‚Q@Bmk MK‡V Rp ‚RD‚V‚T ~ ‚P‚R mm@@       ”‚S‚S Rpl  Tapered Groovy Np  ~ ‚P‚O mm@@@
                    

            @@@@@@ –㉺Š{‹¤‚h‚oƒCƒ“ƒvƒ‰ƒ“ƒg(‚S–{)–„“ü@ƒvƒƒr‘¦“ú‘•’…

@

@

@

@

‚O‚Q‚P

@
@
M.K‚³‚ñ @55Î —«@@@Ž©‰c‹Æ@Žèp“ú@‚Q‚O‚O‚U”N ‚WŒŽ ‚W“úi‰Îj  Ã–¬“à’ÁÖ@•¹—p@@

      @@     @@@ãŠ{ ‚R–{  ‘¦Žž‰×d@  #‚P‚V #‚P‚U #‚P‚S•” @@

@@@@@@@@@@@@@ƒTƒCƒiƒXƒŠƒtƒgiƒ‰ƒeƒ‰ƒ‹j{ƒCƒ“ƒvƒ‰ƒ“ƒg‚R–{–„“ü@@

@

@

@

@

‚O‚Q‚Q

@
 
H.F‚³‚ñ @64Î —«@Žå•w@Žèp“ú  ‚Q‚O‚P‚P”N ‚PŒŽ‚Q‚P“úi‹àj   ㉺Š{ƒm[ƒxƒ‹ƒKƒCƒhŽg—p@ Ö¬“à’ÁÖ@•¹—p@

@@@@@ãŠ{@@ALL on ‚U @’x‰„‰×d@@‚h‚oƒCƒ“ƒvƒ‰ƒ“ƒg ‚T–{–„“üƒvƒƒrƒZƒbƒg

@@@  @@@@@@”16@Rp‚Œ Tapered Groovy Wp ~ 13 mm@@ @ ”14 Nb  Speedy Groovy Rp ~ 11.5 mm@@@@”12@Bmk MK‡V Rp 3.75 ~ 11.5 mm
@@@@ @@@@@ ”22@Bmk MK‡V Rp3.75  ~ 11.5 mm@@         ”24 Nb Speedy Groovy Rp  ~ 11.5 mm@@@@”2‚U Rpl  Tapered Groovy Wp  ~  13 mm@@

  @@@@‰ºŠ{@@ALL on ‚U @‘¦Žž‰×d   

@@@@ @@@@@ ”36 Rp‚Œ Tapered Groovy Rp ~ 10 mm  @  ”34 Rp‚Œ Tapered Rp ~ 10 mm            ”32 Rpl Tapered Np ~ 13 mm@
@@@@ @@@@@ ”42 Rp‚Œ Tapered Np ~ 13 mm@ @@ @      ”44 Bmk MK‡V Rp3.75 ~ 10 mm  @     ”4‚U Rpl Taperde Grovy Rp
~ 10 mm

@

@

@

@

‚O‚Q‚R

@
 
M.H‚³‚ñ  55Î ’j«@ƒRƒ“ƒTƒ‹ƒ^ƒ“ƒg@Žèp“ú  ‚Q‚O‚P‚P”N @‚TŒŽ‚P‚S“úi“yj   ㉺Š{ƒm[ƒxƒ‹ƒKƒCƒhŽg—p   Ö¬“à’ÁÖ@•¹—p@

    @@   ãŠ{ ‚R–{@’x‰„‰×d@ IPƒCƒ“ƒvƒ‰ƒ“ƒg‚Q–{–„“üƒvƒƒrƒZƒbƒg

@@@@@@@”‚Q‚T@F@NOBEL Speedy Groovy Shorty ~‚V ‚‚@
@@@@@@@”‚Q‚U@F@NOBEL Speedy Groovy Shorty ~‚V ‚‚@
@@@@@@@”‚Q‚V@F@NOBEL Speedy Groovy Shorty ~‚V ‚‚

     @@  ‰ºŠ{ ‚R–{@‘¦Žž‰×d@

@@@@@@@”‚S‚S@F@Rpl Tapered ‚m‚o ~‚P‚R ‚‚
@@@@@@@”‚S‚U@F@Rpl Tapered WP ~‚P‚O ‚‚
@@@@@@@”‚S‚V@F@Rpl Tapered Groovy WP ~‚W ‚‚

@

@

@

‚O‚Q‚S

@
 
M.M‚³‚ñ @64Î ’j«@Ž©‰c‹Æ@@Žèp“ú  ‚Q‚O‚P‚P”N ‚UŒŽ ‚R“úi‹àj@㉺Š{ƒm[ƒxƒ‹ƒKƒCƒhŽg—p  Ö¬“à’ÁÖ@•¹—p@

@@@@@@ãŠ{ ‚S–{@’x‰„‰×di‚h‚oƒCƒ“ƒvƒ‰ƒ“ƒg‚S–{–„“üƒvƒƒrƒZƒbƒgj

@@@@@@@@@@”‚P‚U@F@Rpl Tapered WP ~‚P‚R ‚‚@ @ @”‚P‚S@F@Rpl Tapered RP ~‚P‚R ‚‚
@@@@@@@@@@”‚Q‚S@F@Rpl Tapered ‚m‚o ~‚P‚U ‚‚@@ @”‚Q‚U@F@Rpl Tapered WP ~‚P‚R ‚‚

@@@@@@‰ºŠ{ ‚S–{@‘¦Žž‰×di‚h‚oƒCƒ“ƒvƒ‰ƒ“ƒg‚Q–{•¹—pj

@@@@@@@@@@”‚R‚U@F@Rpl Tapered WP ~‚P‚R ‚‚@@@@”‚R‚S@F@Rpl Tapered RP ~‚P‚R ‚‚
@@@@@@@@@@”‚S‚T@F@Rpl Tapered R‚o ~‚P‚R ‚‚@@@@”‚S‚V@F@Rpl Tapered WP ~‚P‚O ‚‚

@

@

@

‚O‚Q‚T


 
T.S‚³‚ñ @
58Î —«@@Žå•w@@Žèp“ú  ‚Q‚O‚P‚P”N ‚UŒŽ‚P‚R“úiŒŽj@ãŠ{ƒm[ƒxƒ‹ƒKƒCƒhŽg—p 

@@@@@@ãŠ{ ‚Q–{@ ‘¦Žž‰×di‚b‚f‚e•¹—pj

@@@@@@@@@@”‚P‚P F Bmk MK‡V@‚qP‚RD‚V‚T ~‚P‚R ‚‚@@@@”‚Q‚P F Bmk MK‡V@‚qP‚RD‚V‚T ~‚P‚PD‚T ‚‚

@

@

@

‚O‚Q‚U


  K.K‚³‚ñ @50Î —«@@ŠÅŒìŽm@@Žèp“ú 
‚Q‚O‚P‚P”N ‚VŒŽ‚P‚Q“úi‰Îj@‰ºŠ{ƒm[ƒxƒ‹ƒKƒCƒhŽg—p 

@@@@@@‰ºŠ{ ‚Q–{@‘¦Žž‰×d

@@@@@@@@@@”‚R‚U F Rpl Tapered ‚qP ~‚P‚O ‚‚@@@”‚R‚V F Rpl Tapered ‚qP ~‚P‚O ‚‚

@

@

@

‚O‚Q‚V

@
  H.T‚³‚ñ @
55Î —«@Žå•w@Žèp“ú  ‚Q‚O‚P‚P”N ‚P‚OŒŽ ‚P‚Q“úi…j@㉺Š{ƒm[ƒxƒ‹ƒKƒCƒhŽg—p    Ö¬“à’ÁÖ@•¹—p@

@@@@@@@ãŠ{@All on ‚V@’x‰„‰×di‚b‚f‚e•¹—pA‚h‚oƒCƒ“ƒvƒ‰ƒ“ƒg‚T–{–„“üƒvƒƒrƒZƒbƒgj

@@@@@@@@@@@”‚P‚W@F@NOBEL Speedy Groovy Shorty ~‚V ‚‚@@@@@”‚P‚U@F@NOBEL Speedy Groovy Shorty ~‚V ‚‚
@@@@@@@@@@@”‚P‚S@F@Rpl Tapered ‚m‚o ~‚P‚O ‚‚@@@@@@@@@@@@@”‚P‚Q@F@Rpl Tapered ‚m‚o ~‚P‚O ‚‚
@@@@@@@@@@@”‚Q‚Q@F@Rpl Tapered ‚m‚o ~‚P‚O ‚‚@@@@@@@@@@@@@”‚Q‚S@F@Rpl Tapered ‚m‚o ~‚P‚O ‚‚
@@@@@@@@@@@”‚Q‚W@F@Rpl Tapered ‚UƒÓ ~‚W ‚‚

@@@@@@@‰ºŠ{ ‚T–{@‘¦Žž‰×d

@@@@@@@@@@@”‚R‚U@F@Rpl Tapered Groovy RP ~‚W ‚‚@@@@@@@@”‚R‚T@F@Rpl Tapered Groovy RP ~‚W ‚‚
@@@@@@@@@@@”‚S‚S@F@Bmk MK‡V@‚qP‚RD‚V‚T  ~‚V ‚‚@@@@@@@@@ ”‚S‚T@F@Rpl Tapered Groovy RP ~‚W ‚‚
@@@@@@@@@@@”‚S‚U@F@Rpl Tapered Groovy RP ~‚W ‚‚

@

@

@

@

‚O‚Q‚W

@
  M.S‚³‚ñ @
65Î —«@Žå•w@Žèp“ú  ‚Q‚O‚P‚P”N ‚P‚OŒŽ ‚Q‚W“úi‹àj  ã‰ºŠ{ƒm[ƒxƒ‹ƒKƒCƒhŽg—p@ Ö¬“à’ÁÖ@•¹—p@

@@@@@ãŠ{ ‚S–{@‘¦Žž‰×d

@@@@@@@@@”‚P‚T@F@Rpl Tapered RP ~‚P‚U ‚‚@ @@”‚P‚S@F@Rpl Tapered RP ~@‚W ‚‚
@@@@@@@@@”‚Q‚S@F@Rpl Tapered R‚o ~‚P‚U ‚‚@@ @”‚Q‚T@F@Rpl Tapered RP ~‚P‚O ‚‚

@@@@@‰ºŠ{@All on ‚T@‘¦Žž‰×di”²Ž•Œã‘¦Žž–„“üj

@@@@@@@@@”‚R‚U@F@Rpl Tapered WP ~‚P‚O ‚‚@@@@”‚R‚S@F@Rpl Tapered RP ~‚P‚O ‚‚@@@@”‚R‚Q@F@Rpl Tapered ‚mP ~‚P‚O ‚‚
@@@@@@@@@”‚S‚S@F@Rpl Tapered R‚o ~‚P‚O ‚‚@@@@”‚S‚U@F@Rpl Tapered WP ~‚P‚R ‚‚

@

@

@

‚O‚Q‚X


  R.K‚³‚ñ @46Î —«@@‰ïŽÐˆõ@@Žèp“ú 
‚Q‚O‚P‚P”N ‚P‚PŒŽ‚Q‚X“úi‰Îj@‰ºŠ{ ƒm[ƒxƒ‹ƒKƒCƒhŽg—p 

@@@@@@‰ºŠ{ ‚Q–{@’x‰„‰×d

@@@@@@@@@@”‚R‚U@F@Rpl Tapered ‚qP ~‚P‚O ‚‚@@@”‚R‚V @F@Rpl Tapered ‚qP ~‚P‚O ‚‚

@

@

@

‚O‚R‚O


  R.K‚³‚ñ @32Î —«@@‰ïŽÐˆõ@@Žèp“ú 
‚Q‚O‚P‚P”N ‚P‚QŒŽ ‚X“úi‹àj@ãŠ{ ƒm[ƒxƒ‹ƒKƒCƒhŽg—p @Ö¬“à’ÁÖ@•¹—p

@@@@@@ãŠ{ ‚R–{@’x‰„‰×d

@@@@@@@@@@@”‚P‚U@F@NOBEL Speedy Groovy Shorty ~‚V ‚‚@@@@@
                        ”‚P‚T@F@NOBEL Speedy Groovy Shorty ~‚V ‚‚
@@@@@@@@@@@”‚P‚S@F@Rpl Tapered ‚m‚o ~‚P‚O ‚‚@@@@@
@@@@@@@

@

@

@

‚O‚R‚P


  Y.T.‚³‚ñ @33Î —«@@Žå•w@@Žèp“ú 
‚Q‚O‚P‚P”N ‚P‚QŒŽ ‚Q‚O“úi‰Îj@‰ºŠ{ ƒm[ƒxƒ‹ƒKƒCƒhŽg—p @

@@@@@@‰ºŠ{ ‚Q–{@‘¦Žž‰×d

@@@@@@@@@@@@”‚R‚U@F@Rpl Tapered ‚qP ~‚P‚O ‚‚
@@@@@@@@@@@@
”‚R‚V@F@Bmk MK‡V  ‚qP‚RD‚V‚T  ~‚V ‚‚@
@@@@@@@

@

@

@

‚O‚R‚Q


  T.O‚³‚ñ @40Î —«@@‰ïŽÐˆõ@@Žèp“ú 
‚Q‚O‚P‚Q”N  ‚PŒŽ ‚P‚V“úi‰Îj@ãŠ{ ƒm[ƒxƒ‹ƒKƒCƒhŽg—p @Ö¬“à’ÁÖ@•¹—p

@@@@@@ãŠ{ ‚S–{@”²Ž•Œã‘¦Žž–„“ü{‘¦Žž‰×d( CGF•¹—p )@

                               ”‚P‚Q@F@Rpl Tapered NP ~‚P‚O ‚‚@@@
                               ”11@F@Rpl Tapered NP ~‚P‚O ‚‚

                               ”‚Q‚P@F@Rpl Tapered NP ~‚P‚O ‚‚@@  
                                  ”‚Q‚Q  F@Rpl Tapered NP ~‚P3 ‚‚


@

@

@

‚O‚R‚R


  Y.I.‚³‚ñ @57Î —«@@Žå•w@@Žèp“ú 
‚Q‚O‚P‚Q”N  ‚PŒŽ ‚R‚P“úi‰Îj@ãŠ{ ƒm[ƒxƒ‹ƒKƒCƒhŽg—p @Ö¬“à’ÁÖ@•¹—p

@@@@@@ãŠ{ ‚R–{@‘¦Žž‰×d

@@@@@@@@@@@”‚P‚U@F@Rpl Tapered N‚o ~‚P‚R ‚‚
@@@@@@@ ”‚P‚T@F@Rpl Tapered N‚o Groovy ~  ‚W ‚‚
@@@@@@@@@@@”‚P‚S@F@Rpl Tapered R‚o ~‚P‚O ‚‚
@@@@@@@

@

@

‚O‚R‚S


  M.K.‚³‚ñ @”N—î•sÚ —«@ ‰ïŽÐ‘ã•\@@Žèp“ú 
‚Q‚O‚P‚Q”N  ‚QŒŽ ‚Q‚P“úi‰Îj@‰ºŠ{ ƒm[ƒxƒ‹ƒKƒCƒhŽg—p @Ö¬“à’ÁÖ@•¹—p

@@@@@@‰ºŠ{ ‚R–{@‘¦Žž‰×d

@@@@@@@@@@@”48@F@
Rpl Tapered N‚o Groovy ~  ‚W ‚‚@
@@@@@@@@@@@”46@F@Bmk MK‡V ‚qP‚RD‚V‚T  ~10 ‚‚@
@@@@@@@@@@@”45@F@Rpl Tapered N‚o ~‚P0 ‚‚@@@
@@@@@@@

@

@

@

‚O‚R‚T


  M.H.‚³‚ñ @53Î@ —«@ muŽt@@Žèp“ú 
‚Q‚O‚P‚Q”N  ‚RŒŽ ‚U“úi‰Îj@‰ºŠ{ ƒm[ƒxƒ‹ƒKƒCƒhŽg—p @

@@@@@        @‰ºŠ{ ‚P–{@’x‰„‰×d

@@@@@@@@@@@        ”‚R‚U@F@Bmk MK‡V ‚qP‚RD‚V‚T  ~ 7 ‚‚@
@@@@@@@@@@@@@@@@@

@

@

@

‚O‚R‚U


  Y.S.‚³‚ñ @‚R‚WÎ@ —«@ Žå•w@@Žèp“ú 
‚Q‚O‚P‚Q”N  ‚SŒŽ ‚Q‚O“úi‹àj@‰ºŠ{ ƒm[ƒxƒ‹ƒKƒCƒhŽg—p 

@@@@@        @‰ºŠ{ ‚Q–{@ ’x‰„‰×d

@@@@@@@@        @@@”‚R‚T@F@Bmk MK‡V  ‚qP‚RD‚V‚T  ~ ‚W ‚‚@
@@@@@@@@@        @@”‚R‚V@F@Bmk MK‡V  ‚qP‚RD‚V‚T  ~ ‚P‚O ‚‚@
@@@@@@@@@@@@@@@@@

@

@

@

‚O‚R‚V


  E.K.‚³‚ñ @51Î@ —«@ Žå•w@@Žèp“ú 
‚Q‚O‚P‚Q”N  ‚TŒŽ ‚Q‚Q“úi‰Îj@ãŠ{ ƒm[ƒxƒ‹ƒKƒCƒhŽg—p
@@Ö¬“à’¾Ã–@•¹—p

@@@@@        @ãŠ{ ‚R–{@ ƒ\ƒPƒbƒgƒŠƒtƒg ‚Rƒ–Ši‚b‚f‚e•¹—pj{‘¦Žž–„“ü@@’x‰„‰×d

@@@@@@@@@@@@@@”‚Q‚U@F@NOBEL Speedy Groovy Shorty ~‚V ‚‚
@@@@@@@@@@@@@@”‚Q‚V@F@NOBEL Speedy Groovy Shorty ~‚V ‚‚
@@@@@@@@@@@@@@”‚Q‚W@F@NOBEL Speedy Groovy Shorty ~‚V ‚‚
@@@@@@@@@@@@@@@@@

@

@

@

‚O‚R‚W


  K.M.‚³‚ñ @68Î@ —«@ ‘åŠw‹³Žö@@Žèp“ú 
‚Q‚O‚P‚Q”N  ‚WŒŽ ‚Q‚W“úi‰Îj@㉺Š{ ƒm[ƒxƒ‹ƒKƒCƒhŽg—p@@Ö¬“à’¾Ã–@•¹—p

@@@@@        @ãŠ{ ‚Q–{@ ƒ\ƒPƒbƒgƒŠƒtƒg ‚Qƒ–Ši‚b‚f‚e•¹—pj{‘¦Žž–„“ü@@’x‰„‰×d

@@@@@@@@@@@@@@”‚Q‚U@F@NOBEL Speedy Groovy RP ~ ‚WD‚T ‚‚
@@@@@@@@@@@@@@”‚Q‚V@F@Rpl Tapered N‚o ~‚P‚R ‚‚

@@@@@@@@@‰ºŠ{ ‚U–{@ ’x‰„‰×di‚b‚f‚e•¹—pj@

@@@@@@@@@@@@@@”‚R‚V@F@Rpl Tapered  Groovy ‚UD‚O ~ ‚W ‚‚

@@@@@@@@@@@@@@”‚R‚P@F@Rpl Tapered N‚o ~‚P‚PD‚T ‚‚
@@@@@@@@@@@@@@”‚S‚P@F@Rpl Tapered N‚o ~‚P‚R ‚‚
@@@@@@@@@@@@@@”‚S‚Q@F@Rpl Tapered N‚o ~‚P‚PD‚T ‚‚

@@@@@@@@@@@@@@”‚S‚U@F@Rpl Tapered  Groovy ‚UD‚O ~ ‚W ‚‚
@@@@@@@@@@@@@@”‚S‚V@F@NOBEL Speedy Groovy ‚v‚o ~ ‚W ‚‚
@@@@@@@@@@@@@@@@@

@

@

@

‚O‚R‚X


  ‚l.‚m.‚³‚ñ @‚R‚UÎ@ —«@ Ž©‰ci‘ä˜pj@@Žèp“ú 
‚Q‚O‚P‚Q”N  ‚P‚OŒŽ ‚Q“úi‰Îj@ãŠ{ ƒm[ƒxƒ‹ƒKƒCƒhŽg—p@@Ö¬“à’¾Ã–@•¹—p

@@@@@        @ãŠ{ ‚S–{@ ‘¦Žž‰×d( CGF•¹—p )@

@@@@@@@@@@@@@@”‚P‚Q@F@Bmk MK‡V  ‚mP  ~‚P‚R ‚‚
@@@@@@@@@@@@@@”‚P‚P@F@Bmk MK‡V  ‚mP  ~‚P‚R ‚‚
@@@@@@@@@@@@@@”‚Q‚P@F@Bmk MK‡V  ‚qP‚RD‚V‚T  ~‚P‚R ‚‚
@@@@@@@@@@@@@@”‚Q‚Q@F@Bmk MK‡V  ‚mP  ~‚P‚R ‚‚
@@@@@@@@@@@@@@@@@

@

@

@

‚O40


  E.K.‚³‚ñ @52Î@ —«@ Žå•w@@Žèp“ú 
‚Q‚O‚P‚Q”N  ‚P‚PŒŽ ‚P‚R“úi‰Îj@ãŠ{ ƒm[ƒxƒ‹ƒKƒCƒhŽg—p@@Ö¬“à’¾Ã–@•¹—p

@@@@@        @ãŠ{ ‚R–{@’x‰„‰×d

@@@@@@@@@@@@@@”‚Q‚U@F@NOBEL Speedy Groovy Shorty ~‚V ‚‚
@@@@@@@@@@@@@@”‚Q‚V@F@Rpl Tapered  ‚UD‚O ~ ‚P‚O ‚‚
@@@@@@@@@@@@@@”‚Q‚W@F@Rpl Tapered  Groovy ‚UD‚O ~ ‚W ‚‚
@@@@@@@@@@@@@@@@@

@

@

‚O41


  M.H.‚³‚ñ @56Î@ ’j«@ ƒRƒ“ƒTƒ‹ƒ^ƒ“ƒg@ Žèp“ú 
‚Q‚O‚P‚R”N   ‚PŒŽ ‚W“úi‰Îj@ãŠ{ ƒm[ƒxƒ‹ƒKƒCƒhŽg—p@@Ö¬“à’¾Ã–@•¹—p

@@@@@        @ãŠ{ ‚R–{@ƒ\ƒPƒbƒgƒŠƒtƒg{‚b‚f‚e•¹—pƒIƒy‘¦Žž–„“ü@’x‰„‰×d

@@@@@@@@@@@@@@”‚Q‚U@F@NOBEL Speedy Groovy Shorty ~‚V ‚‚
@@@@@@@@@@@@@@”‚Q‚V@F@Rpl Tapered  ‚UD‚O ~ ‚P‚O ‚‚
@@@@@@@@@@@@@@”‚Q‚W@F@Rpl Tapered  ‚UD‚O ~ ‚P‚R ‚‚
@@@@@@@@@@@@@@@@@

@

@

@

‚O42


  M.K.‚³‚ñ @70Î@ —«@ Ž©—R‹Æ@ Žèp“ú 
‚Q‚O‚P‚R”N  ‚RŒŽ ‚P‚Q“úi‰Îj@㉺Š{ ƒm[ƒxƒ‹ƒKƒCƒhŽg—p@@Ö¬“à’¾Ã–@•¹—p

@@@@@        @ãŠ{ ‚Q–{@ ’x‰„‰×di‚b‚f‚e•¹—pj

@@@@@@@@@@@@@@”‚Q‚U@F@NOBEL Speedy Groovy RP ~ ‚WD‚T ‚‚
@@@@@@@@@@@@@@”‚Q‚V@F@Rpl Tapered N‚o ~‚P‚R ‚‚

@@@@@@@@@‰ºŠ{ ‚U–{@ ’x‰„‰×d

@@@@@@@@@@@@@@”‚R‚V@F@Rpl Tapered  Groovy ‚UD‚O ~ ‚W ‚‚

@@@@@@@@@@@@@@”‚R‚P@F@Rpl Tapered N‚o ~‚P‚PD‚T ‚‚
@@@@@@@@@@@@@@”‚S‚P@F@Rpl Tapered N‚o ~‚P‚R ‚‚
@@@@@@@@@@@@@@”‚S‚Q@F@Rpl Tapered N‚o ~‚P‚PD‚T ‚‚

@@@@@@@@@@@@@@”‚S‚U@F@Rpl Tapered  Groovy ‚UD‚O ~ ‚W ‚‚
@@@@@@@@@@@@@@”‚S‚V@F@NOBEL Speedy Groovy ‚v‚o ~ ‚W ‚‚

@@

@

@

@

‚O43


  ‚h‚³‚ñ @’j«@ Žèp“ú 
‚Q‚O‚P‚R”N  ‚UŒŽ ‚P‚W“úi‰Îj@‰ºŠ{ ƒm[ƒxƒ‹ƒKƒCƒhŽg—p@@Ö¬“à’¾Ã–@•¹—p

@@@@@@@@@‰ºŠ{ ‚U–{@ ‘¦Žž‰×di‚b‚f‚e{‚`‚e‚f•¹—pj

@@@@@@@@@@@@@@”‚R‚U@F@Bmk MK‡V Ht ‚qP‚RD‚V‚T  ~‚P‚O ‚‚
@@@@@@@@@@@@@@”‚R‚T@F@Bmk MK‡V Ht ‚qP‚RD‚V‚T  ~‚P‚O ‚‚
@@@@@@@@@@@@@@”‚R‚S@F@Bmk MK‡V Ht ‚qP‚RD‚V‚T  ~‚P‚O ‚‚

@@@@@@@@@@@@@@”‚S‚S@F@Bmk MK‡V Ht ‚qP‚RD‚V‚T  ~‚P‚PD‚T‚‚
@@@@@@@@@@@@@@”‚S‚T@F@Bmk MK‡V Ht ‚qP‚RD‚V‚T  ~‚P‚O ‚‚
@@@@@@@@@@@@@@”‚S‚U@F@Rpl Tapered ‚q‚o ~‚P‚O ‚‚

@@

@

@

‚O44


  ‚j.I.‚³‚ñ @‚S‚TÎ@ ’j«@ ‰ïŽÐˆõ@ Žèp“ú 
‚Q‚O‚P‚R”N  ‚VŒŽ ‚Q“úi‰Îj@‰ºŠ{ ƒm[ƒxƒ‹ƒKƒCƒhŽg—p@@Ö¬“à’¾Ã–@•¹—p

@@@@@@@@@‰ºŠ{ ‚Q–{@ ‘¦Žž‘•’…i‚b‚f‚e{‚`‚e‚f•¹—pj


@@@@@@@@@@@@@@”‚S‚U@F@Bmk MK‡V Ht ‚qP‚RD‚V‚T  ~‚P‚PD‚T ‚‚
@@@@@@@@@@@@@@”‚S‚V@F@Bmk MK‡V Ht ‚qP‚RD‚V‚T  ~‚P‚O ‚‚
@@@@@@@

@@

@

@

‚O45


  Y.I.‚³‚ñ @29Î@ ’j«@   @ Žèp“ú 
‚Q‚O‚P‚R”N  ‚WŒŽ ‚Q‚V“úi‰Îj@‰ºŠ{ ƒm[ƒxƒ‹ƒKƒCƒhŽg—p@@Ö¬“à’¾Ã–@•¹—p

@@@@@@@@@‰ºŠ{ ‚P–{@ –„“üi‚b‚f‚e{‚`‚e‚f•¹—pj@’x‰„‰×d


@@@@@@@@@@@@@@”‚R‚U@F@Bmk MK‡V Ht@‚qP‚RD‚V‚T  ~ ‚V ‚‚
@@@@@@@@@@@@@
@@@@@@

@@

@

@

@

‚O46


  M.I.‚³‚ñ @71Î@ —«@ Žå•w  @ Žèp“ú 
‚Q‚O‚P‚R”N  ‚XŒŽ ‚P‚O“úi‰Îj@ãŠ{ ƒm[ƒxƒ‹ƒKƒCƒhŽg—p@@Ö¬“à’¾Ã–@•¹—p

@@@@@@@@@ãŠ{ ‚P–{@ ƒ\ƒPƒbƒgƒŠƒtƒgi‚b‚f‚e{‚`‚e‚f•¹—pj@’x‰„‰×d


@@@@@@@@@@@@@@”‚P‚U@F@Nobel Speedy ‚q‚l@‚qP‚S  ~ 11.5 ‚‚
@@@@@@@@@@@@@
@@@@@@

@@

@

@

@

‚O47


  R.K.‚³‚ñ @48Î@ —«@ ‰ïŽÐˆõ  @ Žèp“ú 
‚Q‚O‚P‚R”N  ‚XŒŽ ‚Q‚T“úi‰Îj@ãŠ{ ƒm[ƒxƒ‹ƒKƒCƒhŽg—p@@Ö¬“à’¾Ã–@•¹—p

@@@@@@@@@‰ºŠ{ ‚R–{@ –„“üi‚b‚f‚e{‚`‚e‚f•¹—pj@’x‰„‰×d


@@@@@@@@@@@@@@@”‚R‚T@F@Bmk MK‡V Ht@‚qP‚RD‚V‚T  ~ ‚P‚O ‚‚
@@@@@@@@@@@@@@@”‚S‚T@F@Bmk MK‡V Ht@‚qP‚RD‚V‚T  ~ ‚P‚O ‚‚
@@@@@@@@@@@@@@@”‚S‚V@F@Bmk MK‡V Ht@‚qP‚RD‚V‚T  ~ ‚P‚O ‚‚

@@

@

@

@

‚O48


  H.M.‚³‚ñ @‚T‚TÎ@ —«@ ‰ïŽÐˆõ  @ Žèp“ú 
‚Q‚O‚P‚R”N  ‚P‚OŒŽ  ‚W“úi‰Îj@‰ºŠ{ ƒm[ƒxƒ‹ƒKƒCƒhŽg—p

@@@@@@@@@‰ºŠ{ ‚P–{@ @–„“üi‚b‚f‚e{‚`‚e‚f•¹—pj@’x‰„‰×d


@@@@@@@@@@@@@@@”‚S‚U@F@Bmk MK‡V Ht@WP‚TD‚O  ~ ‚W ‚‚

@@

@

@

@

‚O4‚X


  E.A.‚³‚ñ @‚U‚SÎ@ ’j«@ ‰ïŽÐŒo‰c  @ Žèp“ú 
‚Q‚O‚P‚R”N  ‚P‚OŒŽ ‚Q‚Q“úi‰Îj@ãŠ{ ƒm[ƒxƒ‹ƒKƒCƒhŽg—p

@@@@@@@@@ãŠ{ ‚P–{@ @ƒ\ƒPƒbƒgƒŠƒtƒg{–„“üi‚b‚f‚e{‚`‚e‚f•¹—pj@’x‰„‰×d


@@@@@@@@@@@@@@@”‚R‚V@F@Bmk MK‡V Ht@RP‚SD‚O  ~ ‚P‚O ‚‚

@@

@

@

@

‚O50


  C.O.‚³‚ñ @52Î@ —«@ ‘“¹‰ÆŒ³  @ Žèp“ú 
‚Q‚O‚P‚R”N  ‚P‚PŒŽ ‚P‚Q“úi‰Îj@‰ºŠ{ ƒm[ƒxƒ‹ƒKƒCƒhŽg—p@@Ö¬“à’¾Ã–@•¹—p

@@@@@@@@@‰ºŠ{ ‚Q–{@ –„“üi‚b‚f‚e{‚`‚e‚f•¹—pj@’x‰„‰×d


@@@@@@@@@@@@@@@”‚R‚U@F@Bmk MK‡V Ht@RP‚SD‚O  ~ 8.5 ‚‚

                                 ”‚R‚V@F@Bmk MK‡V Ht@RP‚RD‚V‚T  ~ 8.5 ‚‚

@@

@

@

@

@

@

‚O51


  Y.A.‚³‚ñ @‚R‚WÎ@ ’j«@ ‰ïŽÐˆõiƒzƒ‹ƒ“‘tŽÒj  @Žèp“ú 
‚Q‚O‚P‚S”N  ‚PŒŽ ‚P‚T“úi…j@ãŠ{ ƒm[ƒxƒ‹ƒKƒCƒhŽg—p@@Ö¬“à’¾Ã–@•¹—p

@@@@@@@@@ãŠ{ ‚P–{@ –„“üi‚b‚f‚e{‚`‚e‚f•¹—pj@’x‰„‰×d


@@@@@@@@@@@@@  @@”‚Q‚P@F@Rpl Tapered ‚q‚o ~‚P‚O ‚‚

@@

@

@

@

@

‚O52


  M.H.‚³‚ñ @‚U‚VÎ@ ’j«@ ƒvƒƒgƒ‰ƒ“ƒyƒbƒ^[   Žèp“ú 
‚Q‚O‚P‚S”N  ‚PŒŽ ‚Q‚W“úi‰Îj@ãŠ{ ƒm[ƒxƒ‹ƒKƒCƒhŽg—p@@Ö¬“à’¾Ã–@•¹—p

@@@@@@@@@ãŠ{ ‚W–{@ @All on ‚U@‘¦Žž‰×di‚b‚f‚e+AFG•¹—pj

@@@@@@@@@@@”‚P‚W@F@Rpl Tapered ‚v‚o ~‚P‚R ‚‚( sleep )
@@@@@@@@@@@”‚P‚T@F@Rpl Tapered ‚q‚o ~‚P‚O ‚‚
@@@@@@@@@@@”‚P‚Q@F@Rpl Tapered ‚m‚o ~‚P‚R ‚‚
@@@@@@@@@@@”‚P‚P@F@Rpl Tapered ‚m‚o ~‚P‚U ‚‚

@@@@@@@@@@@”‚Q‚P@F@Rpl Tapered ‚m‚o ~‚P‚R ‚‚
@@@@@@@@@@@”‚Q‚Q@F@Rpl Tapered ‚m‚o ~‚P‚O ‚‚
@@@@@@@@@@@”‚Q‚S@F@Rpl Tapered ‚q‚o ~‚P‚U ‚‚
@@@@@@@@@@@”‚Q‚W@F@Rpl Tapered ‚v‚o ~‚P‚O ‚‚( sleep )

@@

@

@

@

@

‚O53


  H.T.‚³‚ñ @43Î@ ’j«@ ‰ïŽÐˆõ   Žèp“ú 
‚Q‚O‚P‚S”N  ‚SŒŽ ‚Q‚T“úi‹àj@ãŠ{ ƒm[ƒxƒ‹ƒKƒCƒhŽg—p@@Ö¬“à’¾Ã–@•¹—p

@@@@@@@@@ãŠ{ ‚P–{@ @’x‰„‰×di‚b‚f‚e+AFG•¹—pj


@@@@@@@@@@@”‚Q‚P@F@Rpl Tapered Ht R‚o ~‚P‚U ‚‚
@@@@@@@@

@@

@

@

@

@

‚O54


  T.H.‚³‚ñ @36Î@ ’j«@ ƒ`ƒ…[ƒo‘tŽÒ   Žèp“ú 
‚Q‚O‚P‚S”N  ‚TŒŽ ‚Q‚R“úi‹àj@ãŠ{ ƒm[ƒxƒ‹ƒKƒCƒhŽg—p@@Ö¬“à’¾Ã–@•¹—p

@@@@@@@@@ãŠ{ ‚P–{@ @’x‰„‰×di‚b‚f‚e+AFG•¹—pj


@@@@@@@@@@@”‚P‚R@F@Bmk MK‡V Ht@RP‚SD‚O  ~ ‚P‚T ‚‚
@@@@@@@@

@@

@

@

@

@

‚O55


  ‚l.‚h.‚³‚ñ @‚T‚XÎ@ —«@ ‰ïŽÐˆõ   Žèp“ú 
‚Q‚O‚P‚S”N  ‚UŒŽ ‚Q‚V“úi‹àj@㉺Š{ ƒm[ƒxƒ‹ƒKƒCƒhŽg—p@@Ö¬“à’¾Ã–@•¹—p

@@@@@@@@@ãŠ{ ‚U–{@ @‘¦Žž‰×di‚b‚f‚e+AFG•¹—pj

@@@@@@@@@@@”‚P‚U@F@Bmk MK‡V Ht@RP‚RD‚V‚T  ~ ‚P‚O ‚‚@@@@@@@@@@@@”‚P‚S@F@Bmk MK‡V Ht@RP‚RD‚V‚T  ~ ‚P‚PD‚T ‚‚
@@@@@@@@@@@”‚P‚Q@F@Bmk MK‡V Ht@RP‚RD‚V‚T  ~ ‚P‚PD‚T ‚‚                      ”‚Q‚Q@F@Bmk MK‡V Ht@RP‚RD‚V‚T  ~ ‚P‚T ‚‚
@@@@@@@@@@@”‚Q‚S@F@Bmk MK‡V Ht@RP‚RD‚V‚T  ~ ‚P‚O ‚‚@@@@@@@@@@@  ”‚Q‚T@F@Bmk MK‡V Ht@RP‚RD‚V‚T  ~ ‚P‚O ‚‚

@@@@@@@@@‰ºŠ{ ‚T–{@ @‘¦Žž‰×di‚b‚f‚e+AFG•¹—pj

@@@@@@@@@@@”‚R‚U@F@Bmk MK‡V Ht@RP‚RD‚V‚T  ~ ‚P‚T ‚‚@@@@@@@@@@@@”‚R‚Q@F@Bmk MK‡V Ht@RP‚RD‚V‚T  ~ ‚P‚R ‚‚
@@@@@@@@@@@”‚S‚Q@F@Bmk MK‡V Ht@RP‚RD‚V‚T  ~ ‚P‚R ‚‚@@@@@@@@@@@@”‚S‚S@F@Bmk MK‡V Ht@RP‚RD‚V‚T  ~ ‚P‚T ‚‚
@@@@@@@@@@@”‚S‚U@F@Bmk MK‡V Ht@RP‚RD‚V‚T  ~ ‚P‚PD‚T ‚‚@@

@@

@

@

@

@

‚O5‚U


  ‚h.‚l.‚³‚ñ @‚U‚OÎ@ —«@ ‰ïŽÐˆõ   Žèp“ú 
‚Q‚O‚P‚S”N  ‚XŒŽ ‚P‚Q“úi‹àj@ãŠ{ ƒm[ƒxƒ‹ƒKƒCƒhŽg—p@

@@@@@@@@@ãŠ{ ‚U–{@ @‘¦Žž‰×d

@@@@@@@@@@@”‚P‚U@F@Bmk MK‡V Ht@RP‚RD‚V‚T  ~ ‚P‚O ‚‚@@@@@@@@@@@@”‚P‚S@F@Bmk MK‡V Ht@RP‚SD‚O  ~@‚P‚R ‚‚
@@@@@@@@@@@”‚P‚Q@F@Bmk MK‡V Ht@RP‚RD‚V‚T  ~ ‚P‚PD‚T ‚‚                      ”‚Q‚Q@F@Bmk MK‡V Ht@RP‚RD‚V‚T  ~ ‚P‚T ‚‚
@@@@@@@@@@@”‚Q‚S@F@Bmk MK‡V Ht@RP‚RD‚V‚T  ~ ‚P‚O ‚‚@@@@@@@@@@@  ”‚Q‚T@F@Bmk MK‡V Ht@RP‚RD‚V‚T  ~ ‚P‚O ‚‚

@@

@

@

@

@

‚O5‚V


  ‚x.‚j.‚³‚ñ @‚T‚XÎ@—«@Žå•w   Žèp“ú 
‚Q‚O‚P‚S”N  ‚P‚OŒŽ ‚R‚P“úi‹àj@‰ºŠ{ ƒm[ƒxƒ‹ƒKƒCƒhŽg—p

@@@@@@@@@‰ºŠ{ ‚P–{@ @’x‰„‰×d

@@@@@@@@@@@”‚P‚S@F@Bmk MK‡V Ht@RP‚SD‚O  ~ ‚P‚PD‚T ‚‚

@@@@@

@@

@

@

@

@

‚O58


  ‚n.‚b.‚³‚ñ @‚T‚RÎ@—«@Žt”Í   Žèp“ú 
‚Q‚O‚P‚S”N  ‚P‚PŒŽ ‚P‚P“úi‰Îj@‰ºŠ{ ƒm[ƒxƒ‹ƒKƒCƒhŽg—p

@@@@@@@@@‰ºŠ{ ‚Q–{@ @’x‰„‰×d

@@@@@@@@@@@”‚R‚U@F@Bmk MK‡V Ht@‚vP‚TD‚O  ~ ‚P‚PD‚T ‚‚
@@@@@@@@@@@”‚R‚U@F@Bmk MK‡V Ht@RP‚SD‚O  ~  ‚P‚PD‚T ‚‚

@@@@@

@@

@

@

@

@

‚O59


  ‚l.‚g.‚³‚ñ @‚U‚SÎ@—«@ Žå•w   Žèp“ú 
‚Q‚O‚P‚S”N  ‚P‚PŒŽ ‚P‚W“úi‰Îj@‰ºŠ{ ƒm[ƒxƒ‹ƒKƒCƒhŽg—p@Ö¬“à’ÁÖ@•¹—p

@@@@@@@@@‰ºŠ{ ‚R–{@ @ƒvƒƒr‘¦Žž‘•’…

@@@@@@@@@@@”‚S‚T@F@Bmk MK‡V Ht@RP‚RD‚V‚T ~ ‚P‚RD‚O ‚‚
@@@@@@@@@@@”‚S‚U@F@Bmk MK‡V Ht@RP‚SD‚O  ~  ‚P‚OD‚O ‚‚
@@@@@@@@@@@”‚S‚V@F@Bmk MK‡V Ht@RP‚SD‚O  ~ @‚WD‚T ‚‚

@@@@@

@

@

@

@

‚O‚U‚O


  ‚g.‚j.‚³‚ñ @‚V‚RÎ@—«@ Žå•w   Žèp“ú 
‚Q‚O‚P‚S”N  ‚P‚QŒŽ ‚P‚Q“úi‹àj@ãŠ{ ƒm[ƒxƒ‹ƒKƒCƒhŽg—p@Ö¬“à’ÁÖ@•¹—p

@@@@@@@@@ãŠ{ ‚S–{@ @ƒvƒƒr‘¦Žž‘•’…

@@@@@@@@@@@”‚P‚V@F@Bmk MK‡V Ht@RP‚SD‚O  ~ ‚P‚TD‚O ‚‚
@@@@@@@@@@@”‚P‚U@F@Bmk MK‡V Ht@RP‚SD‚O  ~ ‚P‚RD‚O ‚‚
@@@@@@@@@@@”‚P‚T@F@Bmk MK‡V Ht@RP‚SD‚O  ~ ‚P‚TD‚O ‚‚
@@@@@@@@@@@”‚P‚S@F@Bmk MK‡V Ht@RP‚RD‚V‚T  ~‚P‚TD‚O ‚‚

@@@@@

@

@

@

‚O‚U‚P


  ‚j.M.‚³‚ñ @48Î@’j«@ ‰ïŽÐ–ðˆõ   Žèp“ú 
‚Q‚O‚P‚T”N  ‚PŒŽ ‚Q‚R“úi‹àj@㉺Š{ ƒm[ƒxƒ‹ƒKƒCƒhŽg—p@Ö¬“à’ÁÖ@•¹—p@

@@@@@@@@@—¼‘¤ƒ‰ƒeƒ‰ƒ‹‚©‚çƒTƒCƒiƒXƒŠƒtƒg‚µ‚ÄA‚`‚s‚aiƒI[ƒgƒgƒD[ƒXƒ{[ƒ“jŽg—pƒIƒyAŠO—ˆ‰Ç—á

@@@@@@@@@ãŠ{ ‚X–{@ @ƒvƒƒr‘¦Žž‘•’…@@@@@@@@@@@@@@@@@@@@@@@‰ºŠ{ ‚U–{@ @ƒvƒƒr‘¦Žž‘•’…

@@@@@@@@@@@”‚P‚W@F@Bmk MK‡V Ht@RP‚SD‚O  ~  ‚P‚OD‚O ‚‚
@@@@@@@@@@@”‚S‚U@F@Bmk MK‡V Ht@RP‚RD‚V‚T  ~‚P‚RD‚O ‚‚
@@@@@@@@@@@”‚P‚S@F@Bmk MK‡V Ht@RP‚RD‚V‚T ~ ‚P‚TD‚O ‚‚@@@@@@@@@@@”‚S‚S@F@Bmk MK‡V Ht@RP‚RD‚V‚T  ~‚P‚RD‚O ‚‚
@@@@@@@@@@@”‚P‚R@F@Bmk MK‡V Ht@RP‚RD‚V‚T  ~ ‚P‚OD‚O ‚‚@@@@@@@@@@ ”‚S‚Q@F@Bmk MK‡V Ht@RP‚RD‚V‚T  ~‚P‚RD‚O ‚‚
@@@@@@@@@@@”‚P‚P@F@Bmk MK‡V Ht@RP‚SD‚O  ~  ‚P‚TD‚O ‚‚@@@@@@@@@@@”‚R‚Q@F@Bmk MK‡V Ht@RP‚RD‚V‚T  ~‚P‚RD‚O ‚‚
@@@@@@@@@@@”‚Q‚P@F@Bmk MK‡V Ht@RP‚RD‚V‚T  ~ ‚P‚TD‚O ‚‚@@@@@@@@@@ ”‚R‚T@F@Bmk MK‡V Ht@RP‚SD‚O  ~ ‚P‚RD‚O ‚‚
@@@@@@@@@@@”‚Q‚Q@F@Bmk MK‡V Ht@RP‚RD‚V‚T ~ ‚P‚TD‚O ‚‚@@@@@@@@@@@”‚R‚U@F@Bmk MK‡V Ht@RP‚SD‚O  ~ ‚P‚RD‚O ‚‚
@@@@@@@@@@@”‚Q‚S@F@Bmk MK‡V Ht@RP‚SD‚O  ~  ‚P‚RD‚O ‚‚
@@@@@@@@@@@”‚Q‚V@F@Bmk MK‡V Ht@RP‚SD‚O  ~@ ‚WD‚T ‚‚
@@@@@@@@@@@”‚Q‚W@F@Bmk MK‡V Ht@RP‚SD‚O  ~ ‚P‚OD‚O ‚‚@

‚`‚s‚aŠJ”­ŽÒ‚Å¢ŠE“IŒ ˆÐAŽOŽŸ³tæ¶‚É‚²ŠÄC‘Õ‚«‚Ü‚µ‚½A“–‰@ŠO—ˆ‰‚`‚s‚aŽg—pÇ—á‚Å‚·

‚`‚s‚a‚ɂ‚¢‚Ä‚ÌÚׂ͉º‹LƒŠƒ“ƒN‚Å‚²Šm”F‚­‚¾‚³‚¢

http://www.bts-jpn.com/index.html

á ”²Ž•‚µ‚½‚²Ž©g‚ÌŽ•‚Ì‘I‘ðŽˆ‚ª‘‚¦‚Ü‚µ‚½ â

‚Pjˆ•ª‚·‚é

‚Qj‚²Ž©g‚Ì‹L”O‚ÉŽ‚Á‚Ä‹A‚é

‚RjŽ•‰åƒoƒ“ƒN‚ɕۊǂµ‚Ä‚`‚s‚a‰ÁH‚·‚é

 *‚`‚s‚a‰ÁH‚µ‚½‚²Ž©g‚ÌŽ•‚ÍA«—ˆƒCƒ“ƒvƒ‰ƒ“ƒgŽèp“™‚ÌÛ‚ÉA‚²Ž©g‚Ìœ‚ɈÀ‘S‚É’u‚«Š·‚¦‚鎖‚ª‚Å‚«‚Ü‚· 

@@@@@

@

@

@

@

‚O‚U‚P-2


  ‚j.M.‚³‚ñ @48Î@’j«@ ‰ïŽÐ–ðˆõ   Žèp“ú 
‚Q‚O‚P‚T”N  ‚PŒŽ ‚Q‚R“úi‹àj@㉺Š{ ƒm[ƒxƒ‹ƒKƒCƒhŽg—p@Ö¬“à’ÁÖ@•¹—p@

@@@@@@@@@—¼‘¤ƒ‰ƒeƒ‰ƒ‹‚©‚çƒTƒCƒiƒXƒŠƒtƒg‚µ‚ÄA‚`‚s‚aiƒI[ƒgƒgƒD[ƒXƒ{[ƒ“jŽg—pƒIƒyAŠO—ˆ‰Ç—á

@@@@@@@@@ãŠ{ ‚X–{@ @ƒvƒƒr‘¦Žž‘•’…@@@@@@@@@@@@@@@@@@@@@@@‰ºŠ{ ‚U–{@ @ƒvƒƒr‘¦Žž‘•’…

@@@@@@@@@@@”‚P‚W@F@OSSTEM@US‡U RP‚SD‚O  ~  ‚P‚OD‚O ‚‚@@@@@@@@@@@”‚S‚U@F@OSSTEM@US‡U RP‚RD‚V‚T  ~‚P‚RD‚O ‚‚
@@@@@@@@@@@”‚P‚S@F@
OSSTEM@US‡U RP‚RD‚V‚T ~ ‚P‚TD‚O ‚‚@@@@@@@@@@@”‚S‚S@F@OSSTEM@US‡U RP‚RD‚V‚T  ~‚P‚RD‚O ‚‚
@@@@@@@@@@@”‚P‚R@F@
OSSTEM@US‡U RP‚RD‚V‚T  ~ ‚P‚OD‚O ‚‚@@@@@@@@@@ ”‚S‚Q@F@OSSTEM@US‡U RP‚RD‚V‚T  ~‚P‚RD‚O ‚‚
@@@@@@@@@@@”‚P‚P@F@
OSSTEM@US‡U RP‚SD‚O  ~  ‚P‚TD‚O ‚‚@@@@@@@@@@@”‚R‚Q  F@OSSTEM@US‡U RP‚RD‚V‚T  ~‚P‚RD‚O ‚‚
@@@@@@@@@@@”‚Q‚P@F@OSSTEM@US‡U RP‚RD‚V‚T  ~ ‚P‚TD‚O ‚‚@@@@@@@@@@ ”‚R‚T@F@OSSTEM@US‡U RP‚SD‚O  ~ ‚P‚RD‚O ‚‚
@@@@@@@@@@@”‚Q‚Q@F@OSSTEM@US‡U RP‚RD‚V‚T ~ ‚P‚TD‚O ‚‚@@@@@@@@@@@”‚R‚U@F@OSSTEM@US‡U RP‚SD‚O  ~ ‚P‚RD‚O ‚‚
@@@@@@@@@@@”‚Q‚S@F@OSSTEM@US‡U RP‚SD‚O  ~  ‚P‚RD‚O ‚‚
@@@@@@@@@@@”‚Q‚V@F@OSSTEM@US‡U RP‚SD‚O  ~@ ‚WD‚T ‚‚
@@@@@@@@@@@”‚Q‚W@F@OSSTEM@US‡U RP‚SD‚O  ~ ‚P‚OD‚O ‚‚@

@@@@@

@

@

@

@

‚O‚U2


  ‚s.‚s.‚³‚ñ @‚T‚UÎ@’j«@ ‚Z‹³—@(‹³“ªæ¶)   ƒ†[ƒzƒjƒ…[ƒ€‘tŽÒ@Žèp“ú 
‚Q‚O‚P‚T”N  ‚QŒŽ ‚Q‚S“úi‰Îj@‰ºŠ{ ƒm[ƒxƒ‹ƒKƒCƒhŽg—p

@@@@@@@@@‰ºŠ{ ‚P–{@ @’x‰„‰×d{‚b‚f‚e•¹—p

@@@@@@@@@@@”‚R‚U@F@‚m‚‚‚‚…‚Œ ‚q‚…‚‚Œ‚‚ƒ‚… ‚s‚‚‚…‚’‚…‚„ ‚b‚‚Ž‚‰‚ƒ‚‚Œ ‚b‚‚ނނ…‚ƒ‚”‚‰‚‚Ž ‚o‚l‚bi‚m‚…‚— ‚s‚™‚‚…j @WP‚TD‚O  ~ ‚P‚OD‚O ‚‚

@@@@@

@

@

@

@

‚O‚U‚R


  ‚x.‚b.‚³‚ñ @‚U‚PÎ@’j«@@‰ïŽÐˆõ  @Žèp“ú 
‚Q‚O‚P‚T”N  ‚SŒŽ ‚P‚S“úi‰Îj@‰ºŠ{ ƒm[ƒxƒ‹ƒKƒCƒhŽg—p

@@@@@@@@@‰ºŠ{ ‚P–{@ @’x‰„‰×d

@@@@@@@@@@@”‚S‚T@F@Bmk MK‡V Ht@‚qP ‚RD‚V‚T  ~ ‚P‚OD‚O ‚‚

@@@@@

@

@

@

@

‚O‚U4


  ‚s.‚h.‚³‚ñ @‚V‚OÎ@’j«@ Œ³‚Z‹³—@(‰¹ŠyŽw“±ŽÒ)   ƒNƒ‰ƒŠƒlƒbƒg‘tŽÒ@Žèp“ú 
‚Q‚O‚P‚T”N  ‚SŒŽ ‚Q‚S“úi‰Îj@‰ºŠ{ ƒm[ƒxƒ‹ƒKƒCƒhŽg—p@Ö¬“à’ÁÖ@•¹—p

@@@@@@@@@‰ºŠ{ ‚Q–{@ @’x‰„‰×d{‚`‚s‚a•¹—p

@@@@@@@@@@@”‚R‚P ”‚S‚P@F@Bmk MK‡V Ht@NP ‚RD‚R  ~ ‚P‚PD‚T ‚‚

@@@@@

@

@

@

@

‚O‚U5


  K.‚h.‚³‚ñ @‚T‚TÎ@—«@ Žå•w @Žèp“ú 
‚Q‚O‚P‚T”N  ‚VŒŽ ‚P‚O“úi‰Îj@ãŠ{ ƒm[ƒxƒ‹ƒKƒCƒhŽg—p@Ö¬“à’ÁÖ@•¹—p

@@@@@@@@@ãŠ{ ‚S–{@ @’x‰„‰×d{‚b‚f‚e•¹—p

@@@@@@@@@@@”‚P‚V F Bmk MK‡V Ht@‚qP ‚SD‚O  ~ ‚P‚R ‚‚    @@@@
”‚P‚U@F@Bmk MK‡V Ht@‚qP ‚SD‚O  ~ ‚P‚O ‚‚   

@@@@@@@@@@@”‚Q‚U F Bmk MK‡V Ht@‚qP ‚RD‚V‚T  ~ ‚P‚PD‚T ‚‚   @  ”‚Q‚V@F@Bmk MK‡V Ht@‚qP ‚RD‚V‚T  ~ ‚P‚R ‚‚ 

@@@@@

@

@

@

@

‚O‚U‚U


  ‚d.‚`.‚³‚ñ @‚U‚UÎ@’j«@ ‰ïŽÐŽÐ’· @Žèp“ú 
‚Q‚O‚P‚U”N  ‚QŒŽ ‚X“úi‰Îj@‰ºŠ{ ƒm[ƒxƒ‹ƒKƒCƒhŽg—p

@@@@@@@@@‰ºŠ{ ‚P–{@ @’x‰„‰×d

@@@@@@@@@@@”‚R‚U F Bmk MK‡V Ht@‚vP ‚TD‚O  ~ ‚P‚O ‚‚   

@@@@@

@

@

@

@

‚O‚U7


  M.K.‚³‚ñ @‚T‚RÎ@’j«@ ‰ïŽÐˆõ @Žèp“ú 
‚Q‚O‚P‚U”N  ‚SŒŽ ‚Q‚X“úi…j@‰ºŠ{ ƒm[ƒxƒ‹ƒKƒCƒhŽg—p{‚b‚f‚e•¹—p

@@@@@@@@@‰ºŠ{ ‚Q–{@ @’x‰„‰×d

@@@@@@@@@@@”‚R‚U F Bmk MK‡V Ht@‚vP ‚TD‚O‚‚  ~ ‚P‚O ‚‚   

@@@@@@@@@@@”‚R‚V F Bmk MK‡V Ht@‚vP ‚TD‚T‚‚  ~ ‚WD‚T ‚‚ 

@@@@@

@

@

@

@

‚O‚U‚W


  ‚i.‚s.‚³‚ñ @‚S‚SÎ@—«@ ‘åŠw‹³ˆõ @Žèp“ú 
‚Q‚O‚P‚U”N ‚P‚PŒŽ ‚P‚X“úi“yj@‰ºŠ{ Apicotomy with Cystectomy

@@@@@@@@@‰ºŠ{ ‚R–{@ @”‚S‚Q@”‚S‚P@”‚R‚P

@@@@@

@

@

@

@

‚O69


 
@‚j.‚l.‚³‚ñ @‚T‚OÎ@’j«@ ‰ïŽÐ–ðˆõ @Žèp“ú  ‚Q‚O‚P‚U”N  ‚P‚PŒŽ ‚Q‚T“úi‹àj@㉺Š{ ƒm[ƒxƒ‹ƒKƒCƒhŽg—p{‚b‚f‚e•¹—p with Sinus Lift@Ö¬“à’¾Ã•¹—p

@@@@@@@@@ãŠ{@‚X–{ @@‘¦Žž‘•’…iƒvƒƒr‘•’…j

@@@@@@@@@‰ºŠ{  ‚W–{@ @’x‰„‰×diƒq[ƒŠƒ“ƒOƒLƒƒƒbƒv‘•’…j

@@@@@

@

@

@

@

‚O70


 ‚x.‚g.‚³‚ñ @‚U‚UÎ@—«@ Žå•w
@@Žèp“ú  ‚Q‚O‚P‚U”N  ‚P‚QŒŽ ‚P‚T“úi–Øj@‰ºŠ{ ƒm[ƒxƒ‹ƒKƒCƒhŽg—p@Ö¬“à’¾Ã•¹—p

@@@@@@@@@‰ºŠ{ ‚R–{@ @’x‰„‰×d

@@@@@@@@@@@”‚R‚S F Bmk MK‡V Ht@‚qP ‚RD‚V‚T ‚‚  ~ ‚P‚T ‚‚   

@@@@@@@@@@@”‚R‚T F Bmk MK‡V Ht@‚qP ‚RD‚V‚T ‚‚  ~ ‚P‚R ‚‚

@@@@@@@@@@@”‚R‚V F ‚q‚‚Œ ‚r‚…‚Œ‚…‚ƒ‚” ‚s‚‚‚…‚’‚…‚„ ‚s‚‰‚t‚Ž‚‰‚”‚…@‚vP ‚TD‚T‚‚  ~ ‚P‚O ‚‚ 

@@@@@

@

@

@

@

‚O‚V‚P


  ‚s.‚n‚³‚ñ @‚T‚TÎ@—«@ ‘“¹Žt”Í @Žèp“ú 
‚Q‚O‚P‚V”N  ‚PŒŽ ‚R‚P“úi‰Îj@‰ºŠ{ ƒm[ƒxƒ‹ƒKƒCƒhŽg—p{‚b‚f‚e•¹—p

@@@@@@@@@‰ºŠ{ ‚Q–{@ @’x‰„‰×d

@@@@@@@@@@@”‚S‚V
F ‚m‚‚‚el ‚q‚‚Œ CC ‚o‚l‚b  RP ‚TD‚O ‚‚  ~  ‚W ‚‚  

@@@@@@@@@@@”‚S‚T F ‚m‚‚‚el ‚q‚‚Œ CC ‚o‚l‚b  RP ‚SD‚R ‚‚  ~ ‚P‚O ‚‚  


@@@@@@@@@@
@@@@@

@

@

@

@

‚O‚V‚Q


  ‚d.‚`.‚³‚ñ @‚U‚VÎ@’j«@ ‰ïŽÐŽÐ’· @Žèp“ú 
‚Q‚O‚P‚V”N  ‚QŒŽ ‚Q‚S“úi‹àj@㉺Š{ ƒm[ƒxƒ‹ƒKƒCƒhŽg—p{‚b‚f‚e•¹—p with Socket Lift@Ö¬“à’¾Ã•¹—p

@@@@@@@@@ãŠ{ ‚Q–{@ @’x‰„‰×d

@@@@@@@@@@@”‚S‚W F
Bmk MK‡V Ht@‚vP ‚TD‚O‚‚  ~ ‚WD‚T ‚‚

@@@@@@@@@@@”‚S‚U F ‚n‚“s‚”‚…‚ ‚t‚r‚R@ RP ‚SD‚O‚‚  ~ ‚P‚O ‚‚

@@@@@@@@@‰ºŠ{ ‚P–{@ @’x‰„‰×d

@@@@@@@@@@@”‚R‚V F ‚m‚‚‚el ‚q‚‚Œ CC ‚o‚l‚b  RP ‚TD‚O ‚‚  ~ ‚W ‚‚  


@@@@@@@@@@
@@@@@

@

@

@

@

‚O‚V‚R


  T.S.‚³‚ñ @‚T‚OÎ@’j«@ ‰ïŽÐˆõ @Žèp“ú 
‚Q‚O‚P‚V”N  ‚RŒŽ ‚P‚V“úi‹àj@ãŠ{ ƒm[ƒxƒ‹ƒKƒCƒhŽg—p{‚b‚f‚e•¹—p with Socket Lift@Ö¬“à’¾Ã•¹—p

@@@@@@@@@ãŠ{ ‚R–{@ @’x‰„‰×d

@@@@@@@@@@@”‚P‚U F  ‚m‚‚‚el ‚q‚‚Œ CC ‚o‚l‚b  RP ‚TD‚O ‚‚  ~ ‚P‚O ‚‚  

@@@@@@@@@@@”‚P‚T F  ‚m‚‚‚el ‚q‚‚Œ CC ‚o‚l‚b  RP ‚SD‚R ‚‚  ~ ‚W ‚‚  

@@@@@@@@@@@”‚P‚S F  ‚m‚‚‚el ‚q‚‚Œ CC ‚o‚l‚b  RP ‚SD‚R ‚‚  ~ ‚P‚PD‚T ‚‚ 


@@@@@@@@@@@@@@@

@

@

@

@

‚O‚V‚S


  Y.K.‚³‚ñ @‚V‚VÎ@—«@ ’c‘Ì‘ã•\ @Žèp“ú 
‚Q‚O‚P‚V”N  ‚WŒŽ ‚Q‚Q“úi‰Îj@㉺Š{ ƒm[ƒxƒ‹ƒKƒCƒhŽg—p{‚b‚f‚e•¹—p@Ö¬“à’¾Ã•¹—p

@@@@@@@@@ãŠ{ ‚W–{@ @’x‰„‰×d@{@IP Implant ‚T–{Žg—p‚µ‚ÄAƒvƒƒrŒÅ’è

@@@@@@@@@@@”‚P‚V F  Bmk MK‡V Ht@WP ‚TD‚O ‚‚  ~ ‚P‚R‚‚  

@@@@@@@@@@@”‚P‚U F  Bmk MK‡V Ht@WP ‚TD‚O ‚‚  ~ ‚P‚R ‚‚   

@@@@@@@@@@@”‚P‚S F  Bmk MK‡V Ht@RP ‚RD‚V‚T ‚‚  ~ ‚P‚T ‚‚

@@@@@@@@@@@”‚P‚Q F  Bmk MK‡V Ht@RP ‚SD‚O ‚‚  ~ ‚P‚T ‚‚  

@@@@@@@@@@@”‚Q‚Q F  Bmk MK‡V Ht@RP ‚SD‚O ‚‚  ~ ‚P‚T ‚‚   

@@@@@@@@@@@”‚Q‚S F  Bmk MK‡V Ht@RP ‚RD‚V‚T ‚‚  ~ ‚P‚T ‚‚ 

@@@@@@@@@@@”‚Q‚U F  Bmk MK‡V Ht@WP ‚TD‚O ‚‚  ~ ‚P‚R ‚‚ 

@@@@@@@@@@@”‚Q‚V F  Bmk MK‡V Ht@WP ‚TD‚O ‚‚  ~ ‚P‚R ‚‚ 

@

@@@@@@@@‰ºŠ{ ‚S–{@ @’x‰„‰×d

@@@@@@@@@@@”‚S‚V F  ‚n‚“s‚”‚…‚ T‚r@ RP ‚TD‚O‚‚  ~ ‚P‚PD‚T ‚‚

@@@@@@@@@@@”‚S‚U F  ‚n‚“s‚”‚…‚ T‚r@ RP ‚TD‚O‚‚  ~ ‚P‚PD‚T ‚‚

@@@@@@@@@@@”‚R‚U F  ‚n‚“s‚”‚…‚ T‚r@ RP ‚TD‚O‚‚  ~ ‚P‚PD‚T ‚‚

@@@@@@@@@@@”‚R‚V F  ‚n‚“s‚”‚…‚ T‚r@ RP ‚TD‚O‚‚  ~ ‚P‚PD‚T ‚‚


@@@@@@@@@@@@@@@

@

@

@

@

‚O‚V‚T


  T.M.‚³‚ñ @‚U‚TÎ@’j«@ ‰ïŽÐ‘ã•\ @Žèp“ú 
‚Q‚O‚P‚V”N  ‚P‚OŒŽ ‚P‚P“úi…j@㉺Š{ ƒm[ƒxƒ‹ƒKƒCƒhŽg—p{‚b‚f‚e•¹—p@Ö¬“à’¾Ã•¹—p

@@@@@@@@@ãŠ{ ‚U–{@ @’x‰„‰×d@{@IP Implant ‚R–{Žg—p‚µ‚ÄAƒvƒƒrŒÅ’è

@@@@@@@@@@@”‚P‚U F  Bmk MK‡V Ht@WP ‚TD‚O ‚‚  ~ ‚P‚R ‚‚   

@@@@@@@@@@@”‚P‚S F  Bmk MK‡V Ht@RP ‚SD‚O ‚‚  ~ ‚P‚T ‚‚

@@@@@@@@@@@”‚P‚Q F  Bmk MK‡V Ht@RP ‚SD‚O ‚‚  ~ ‚P‚T ‚‚  

@@@@@@@@@@@”‚Q‚Q F  Bmk MK‡V Ht@RP ‚SD‚O ‚‚  ~ ‚P‚T ‚‚   

@@@@@@@@@@@”‚Q‚S F  Bmk MK‡V Ht@RP ‚SD‚O ‚‚  ~ ‚P‚T ‚‚ 

@@@@@@@@@@@”‚Q‚U F  Bmk MK‡V Ht@WP ‚TD‚O ‚‚  ~ ‚P‚R ‚‚

@

@@@@@@@@‰ºŠ{ ‚R–{@ @’x‰„‰×d

@@@@@@@@@@@”‚S‚U F  Bmk MK‡V Ht@WP ‚TD‚O ‚‚  ~ ‚WD‚T ‚‚

@@@@@@@@@@@”‚R‚T F  Bmk MK‡V Ht@RP ‚SD‚O ‚‚  ~ ‚P‚O ‚‚

@@@@@@@@@@@”‚R‚U F  Bmk MK‡V Ht@WP ‚TD‚T ‚‚  ~ ‚P‚O ‚‚


@@@@@@@@@@@@@@@

@

@

@

@

‚O‚V‚U


  Y.N.‚³‚ñ @‚S‚SÎ@—«@ Žå•w @Žèp“ú 
‚Q‚O‚P‚W”N  ‚QŒŽ ‚P‚T“úi–Øj@ãŠ{ ƒm[ƒxƒ‹ƒKƒCƒhŽg—p{‚b‚f‚e•¹—p

@@@@@@@@@ãŠ{ ‚P–{@ @’x‰„‰×d

@@@@@@@@@@@”‚P‚T F ‚m‚‚‚el ‚q‚‚Œ CC ‚o‚l‚b  RP ‚SD‚R ‚‚  ~  ‚W ‚‚  


@@@@@@@@@@@@@@@

@

@

@

@

‚O‚V‚V


  Y.K.‚³‚ñ @‚V‚VÎ@—«@ ’c‘Ì‘ã•\ @Žèp“ú 
‚Q‚O‚P‚W”N  ‚QŒŽ ‚Q‚V“úi‰Îj@㉺Š{ “ñŽŸƒIƒy@Ö¬“à’¾Ã•¹—p

@@@@@@@@@ãŠ{ ‚W–{@ @‚Uƒ–ŒŽ‚Ì’x‰„‰×dŒãAISQ’l‚U‚T“ˆÈã‚ÌœŒ‹‡‚ðŠm”F‚µAIP Implant ‚T–{‚𜋎‚µ‚ÄAƒCƒ“ƒvƒ‰ƒ“ƒgƒŒƒxƒ‹‚̃vƒƒr‘•’…

@@@@@@@@@@@”‚P‚V F  Bmk MK‡V Ht@WP ‚TD‚O ‚‚  ~ ‚P‚R‚‚  

@@@@@@@@@@@”‚P‚U F  Bmk MK‡V Ht@WP ‚TD‚O ‚‚  ~ ‚P‚R ‚‚   

@@@@@@@@@@@”‚P‚S F  Bmk MK‡V Ht@RP ‚RD‚V‚T ‚‚  ~ ‚P‚T ‚‚

@@@@@@@@@@@”‚P‚Q F  Bmk MK‡V Ht@RP ‚SD‚O ‚‚  ~ ‚P‚T ‚‚  

@@@@@@@@@@@”‚Q‚Q F  Bmk MK‡V Ht@RP ‚SD‚O ‚‚  ~ ‚P‚T ‚‚   

@@@@@@@@@@@”‚Q‚S F  Bmk MK‡V Ht@RP ‚RD‚V‚T ‚‚  ~ ‚P‚T ‚‚ 

@@@@@@@@@@@”‚Q‚U F  Bmk MK‡V Ht@WP ‚TD‚O ‚‚  ~ ‚P‚R ‚‚ 

@@@@@@@@@@@”‚Q‚V F  Bmk MK‡V Ht@WP ‚TD‚O ‚‚  ~ ‚P‚R ‚‚ 

@

@@@@@@@@‰ºŠ{ ‚S–{@ @‚Uƒ–ŒŽ‚Ì’x‰„‰×dŒêAISQ’l‚U‚T“ˆÈã‚ÌœŒ‹‡‚ðŠm”F‚µAŽ•“÷ƒpƒ“ƒ`ƒAƒEƒgŒãAƒ}ƒ‹ƒ`ƒAƒoƒbƒgƒƒ“ƒg‚ð‘•’…‚µ‚ÄAƒLƒƒƒbƒv‘•’…

@@@@@@@@@@@”‚S‚V F  ‚n‚“s‚”‚…‚ T‚r@ RP ‚TD‚O‚‚  ~ ‚P‚PD‚T ‚‚

@@@@@@@@@@@”‚S‚U F  ‚n‚“s‚”‚…‚ T‚r@ RP ‚TD‚O‚‚  ~ ‚P‚PD‚T ‚‚

@@@@@@@@@@@”‚R‚U F  ‚n‚“s‚”‚…‚ T‚r@ RP ‚TD‚O‚‚  ~ ‚P‚PD‚T ‚‚

@@@@@@@@@@@”‚R‚V F  ‚n‚“s‚”‚…‚ T‚r@ RP ‚TD‚O‚‚  ~ ‚P‚PD‚T ‚‚


@@@@@@@@@@@@@@@

@

@

@

@

‚O‚V‚W


  M.T.‚³‚ñ @‚S‚WÎ@—«@ Žå•w @Žèp“ú 
‚Q‚O‚P‚W”N  ‚RŒŽ ‚X“úi–Øj@‰ºŠ{ ƒm[ƒxƒ‹ƒKƒCƒhŽg—p

@@@@@@@@@‰ºŠ{ ‚P–{@ @’x‰„‰×d

@@@@@@@@@@@”‚R‚V F ‚n‚“s‚”‚…‚ T‚r‚R@ RP ‚TD‚O‚‚  ~ ‚P‚R ‚‚


@@@@@@@@@@@@@@@

@

@

@

@

‚O‚V‚X


  K.T.‚³‚ñ @‚U‚VÎ@—«@ Žå•w @Žèp“ú 
‚Q‚O‚P‚W”N  ‚SŒŽ ‚R“úi–Øj@ãŠ{ ƒm[ƒxƒ‹ƒKƒCƒhŽg—p{ATBŽg—p

@@@@@@@@@ãŠ{ ‚P–{@ @’x‰„‰×d

@@@@@@@@@@@”‚Q‚V F ‚n‚“s‚”‚…‚ T‚r‚R@ RP ‚TD‚O‚‚  ~ ‚P‚R ‚‚


@@@@@@@@@@@@@@@

@

@

@

@

‚O‚W‚O


  N.S.‚³‚ñ @‚T‚WÎ@’j«@ ƒWƒƒƒYƒ~ƒ…[ƒWƒVƒƒƒ“ @Žèp“ú 
‚Q‚O‚P‚W”N  ‚TŒŽ ‚Q“úi…j@ãŠ{ ƒm[ƒxƒ‹ƒKƒCƒhŽg—p

@@@@@@@@@ãŠ{ ‚Q–{@ @’x‰„‰×d

@@@@@@@@@@@”‚Q‚V F ‚q‚‚Œ ‚r‚…‚Œ‚…‚ƒ‚” ‚s‚‚‚…‚’‚…‚„ ‚s‚‰‚t‚Ž‚‰‚”‚…@RP ‚SD‚R‚‚  ~ ‚P‚O ‚‚ 

@@@@@@@@@@@”‚Q‚U F ‚q‚‚Œ ‚r‚…‚Œ‚…‚ƒ‚” ‚s‚‚‚…‚’‚…‚„ ‚s‚‰‚t‚Ž‚‰‚”‚…@RP ‚SD‚R‚‚  ~ ‚P‚O ‚‚ 

@@@@@@@@@‰ºŠ{ ‚Q–{@ @’x‰„‰×d

@@@@@@@@@@@”‚R‚U F ‚q‚‚Œ ‚r‚…‚Œ‚…‚ƒ‚” ‚s‚‚‚…‚’‚…‚„ ‚s‚‰‚t‚Ž‚‰‚”‚…@RP ‚SD‚R‚‚  ~ ‚P‚PD‚T‚‚ 

@@@@@@@@@@@”‚R‚V F ‚q‚‚Œ ‚r‚…‚Œ‚…‚ƒ‚” ‚s‚‚‚…‚’‚…‚„ ‚s‚‰‚t‚Ž‚‰‚”‚…@RP ‚SD‚R‚‚  ~ ‚P‚PD‚T‚‚ 


@@@@@@@@@@@@@@@

@

@

@

@

@

‚O‚W‚P

 

 T.M.‚³‚ñ @‚U‚TÎ@’j«@ ‰ïŽÐ‘ã•\ @Žèp“ú  ‚Q‚O‚P‚W”N  ‚TŒŽ ‚Q‚R“úi…j@“ñŽŸƒIƒy@Ö¬“à’¾Ã•¹—p

@@@@@@@@@ãŠ{ ‚U–{@ @ISQ’lƒNƒŠƒA‚µ‚½‚Ì‚ÅAƒCƒ“ƒvƒ‰ƒ“ƒgƒŒƒxƒ‹‚̃vƒƒr‘•’…

@@@@@@@@@@@”‚P‚U F  Bmk MK‡V Ht@WP ‚TD‚O ‚‚  ~ ‚P‚R ‚‚   

@@@@@@@@@@@”‚P‚S F  Bmk MK‡V Ht@RP ‚SD‚O ‚‚  ~ ‚P‚T ‚‚

@@@@@@@@@@@”‚P‚Q F  Bmk MK‡V Ht@RP ‚SD‚O ‚‚  ~ ‚P‚T ‚‚  

@@@@@@@@@@@”‚Q‚Q F  Bmk MK‡V Ht@RP ‚SD‚O ‚‚  ~ ‚P‚T ‚‚   

@@@@@@@@@@@”‚Q‚S F  Bmk MK‡V Ht@RP ‚SD‚O ‚‚  ~ ‚P‚T ‚‚ 

@@@@@@@@@@@”‚Q‚U F  Bmk MK‡V Ht@WP ‚TD‚O ‚‚  ~ ‚P‚R ‚‚

@

@@@@@@@@‰ºŠ{ ‚R–{@ @ISQ’lƒNƒŠƒA‚µ‚½‚Ì‚ÅAƒCƒ“ƒvƒ‰ƒ“ƒgƒŒƒxƒ‹‚̃vƒƒr‘•’…

@@@@@@@@@@@”‚S‚U F  Bmk MK‡V Ht@WP ‚TD‚O ‚‚  ~ ‚WD‚T ‚‚

@@@@@@@@@@@”‚R‚T F  Bmk MK‡V Ht@RP ‚SD‚O ‚‚  ~ ‚P‚O ‚‚

@@@@@@@@@@@”‚R‚U F  Bmk MK‡V Ht@WP ‚TD‚T ‚‚  ~ ‚P‚O ‚‚


@@@@@@@@@@@@@@@

@

@

@

@

‚O‚W‚Q


  Y.S.‚³‚ñ @‚S‚SÎ@—«@ Žå•w @Žèp“ú 
‚Q‚O‚P‚W”N  ‚TŒŽ ‚Q‚R“úi…j@ãŠ{ ƒm[ƒxƒ‹ƒKƒCƒhŽg—p@CGF•¹—pƒIƒy

@@@@@@@@@ãŠ{ ‚P–{@ @’x‰„‰×d

@@@@@@@@@@@”‚P‚S F ‚n‚“s‚”‚…‚ T‚r‚R@ NP ‚RD‚T‚‚  ~ ‚P‚R ‚‚

@@@@@@@@@@@@@@@

@

@

@

@

‚O‚W‚R


  I.M.‚³‚ñ @‚V‚WÎ@’j«@ Žèp“ú 
‚Q‚O‚P‚W”N  ‚UŒŽ ‚Q‚Q“úi‹àj@‰ºŠ{ ƒm[ƒxƒ‹ƒKƒCƒhŽg—p

@@@@@@@@@‰ºŠ{ ‚P–{@ @’x‰„‰×d

@@@@@@@@@@@”‚S‚T F ‚n‚“s‚”‚…‚ T‚r‚R@ RP ‚SD‚O‚‚  ~ ‚P‚R ‚‚

@@@@@@@@@@@@@@@

@

@

@

@

@

‚O‚W4

 

 K.T.‚³‚ñ @‚V‚WÎ@’j«@ ‰ïŽÐ‘Š’k–ðiŒ³“ªŽæj @Žèp“ú  ‚Q‚O‚P‚W”N  ‚VŒŽ ‚Q“úi‹àj@CGF+AFGŽg—p@ Ö¬“à’¾Ã•¹—p@ƒm[ƒxƒ‹ƒKƒCƒhŽg—p

@@@@@@@@@ãŠ{ ‚W–{i ‘OŽ••”ƒAƒNƒeƒBƒu‚S–{‚͉ŠúŒÅ’è‚V‚TN‚ ‚èA‘¦Žž‰ÁdB‚»‚êˆÈŠO‚Í’x‰„‰Ádj

@@@@@@@@@@@”‚P‚W F  Nobel  Active@RP ‚TD‚O ‚‚  ~ ‚P‚PD‚T ‚‚   

@@@@@@@@@@@”‚P‚U F  Nober Replace Conical Connection PMC  RP ‚TD‚O ‚‚  ~ ‚WD‚O ‚‚

@@@@@@@@@@@”‚P‚S F  Nobel  Active@RP ‚SD‚R ‚‚  ~ ‚P‚W ‚‚    

@@@@@@@@@@@”‚P‚Q F  Nobel  Active@RP ‚SD‚R ‚‚  ~ ‚P‚T ‚‚   

@@@@@@@@@@@”‚Q‚Q F  Nobel  Active@RP ‚SD‚R ‚‚  ~ ‚P‚W ‚‚   

@@@@@@@@@@@”‚Q‚S F  Nobel  Active@RP ‚SD‚R ‚‚  ~ ‚P‚W ‚‚     

@@@@@@@@@@@”‚Q‚U F  Nober Replace Conical Conection PMC  RP ‚TD‚O ‚‚  ~ ‚WD‚O ‚‚

@@@@@@@@@@@”‚Q‚W F   Nobel  Active@RP ‚TD‚O ‚‚  ~ ‚P‚PD‚T ‚‚   


@@@@@@@@@@@@@@@

@

@

@

@

‚O‚W‚T


  T.H.‚³‚ñ @‚S‚OÎ@’j«@ƒ`ƒ…[ƒo‘tŽÒ Žèp“ú 
‚Q‚O‚P‚W”N  7ŒŽ ‚R‚P“úi‰Îj@ãŠ{ ƒm[ƒxƒ‹ƒKƒCƒhŽg—p@CGF+AFGŽg—p

@@@@@@@@@ãŠ{ ‚P–{@ @’x‰„‰×d

@@@@@@@@@@@”‚Q‚R Fmk MK‡V Ht@RP ‚SD‚O‚‚  ~ ‚P‚R ‚‚

@@@@@@@@@@@@@@@

@

@

@

@

@

‚O‚W‚U


  M.H.‚³‚ñ @63Î@’j«@Ž©‰c‹Æ @Žèp“ú 
‚Q‚O‚P‚X”N  ‚QŒŽ ‚P“úi‹àj@‰ºŠ{ ƒm[ƒxƒ‹ƒKƒCƒhŽg—p@Ö¬“à’ÁÕ¹—p@CGF+AFGŽg—p

@@@@@@@@@‰ºŠ{ ‚S–{@’x‰„‰×d

@@@@@@@@@@@”‚R‚S F  Bmk MK‡V Ht@RP ‚SD‚O‚‚  ~ ‚P‚R ‚‚

@@@@@@@@@@@”‚R‚T F  Bmk MK‡V Ht@RP ‚SD‚O‚‚  ~ ‚P‚R ‚‚

@@@@@@@@@@@”‚R‚U F  Bmk MK‡V Ht@RP ‚SD‚O‚‚  ~ ‚P‚R ‚‚

@@@@@@@@@@@”‚R‚V F@Bmk MK‡V Ht@RP ‚SD‚O‚‚  ~ ‚P‚R ‚‚

@@@@@@@@@@@@@@@

@

@

@

@

@

‚O‚W‚V


  C.T.‚³‚ñ @‚W‚XÎ@—«@Ž©—Rl Žèp“ú 
‚Q‚O‚P‚X”N  ‚RŒŽ ‚T“úi‰Îj@ãŠ{ ƒm[ƒxƒ‹ƒKƒCƒhŽg—p

@@@@@@@@@ãŠ{ ‚P–{@ @’x‰„‰×d

@@@@@@@@@@@”‚Q‚R Fmk MK‡V Ht@RP ‚SD‚O‚‚  ~ ‚P‚R ‚‚

@@@@@@@@@@@@@@@

@

@

@

@

‚O‚W‚W


  S.H.‚³‚ñ @‚V‚TÎ@’j«@Ž©‰c‹Æ Žèp“ú 
‚Q‚O‚P‚X”N  ‚RŒŽ ‚Q‚O“úi…j@‰ºŠ{ ƒm[ƒxƒ‹ƒKƒCƒhŽg—p@Ö¬“à’ÁÕ¹—p

@@@@@@@@@‰ºŠ{ ‚R–{@ @’x‰„‰×d

@@@@@@@@@@@”‚R‚T F  Bmk MK‡V Ht@RP ‚SD‚O‚‚  ~ ‚P‚R ‚‚

@@@@@@@@@@@”‚R‚U F  Bmk MK‡V Ht@RP ‚SD‚O‚‚  ~ ‚P‚R ‚‚

@@@@@@@@@@@”‚R‚V F@Bmk MK‡V Ht@RP ‚RD‚V‚T‚‚  ~ ‚V ‚‚

@@@@@@@@@@@@@@@

@

@

@

@

‚O‚W‚X


  E.A.‚³‚ñ @‚V‚TÎ@’j«@Ž©‰c‹Æ Žèp“ú 
‚Q‚O‚P‚X”N  ‚SŒŽ ‚X“úi…j@ãŠ{ ƒm[ƒxƒ‹ƒKƒCƒhŽg—p

@@@@@@@@@ãŠ{ ‚Q–{@ @’x‰„‰×d

@@@@@@@@@@@”‚Q‚S F  Bmk MK‡V Ht@RP ‚SD‚O‚‚  ~ ‚P‚R ‚‚

@@@@@@@@@@@”‚Q‚T F@Bmk MK‡V Ht@RP ‚RD‚V‚T‚‚  ~ ‚V ‚‚

@@@@@@@@@@@@@@@

@

@

@

@

‚O90


  T.K. ‚³‚ñ @56Î@—«@‰ïŽÐˆõ@ Žèp“ú 
‚Q‚O‚P‚X”N  ‚UŒŽ ‚Q‚P“úi‹àj@‰ºŠ{ ƒm[ƒxƒ‹ƒKƒCƒhŽg—p

@@@@@@@@@‰ºŠ{ ‚Q–{@ @’x‰„‰×d

@@@@@@@@@@@”‚R‚T F  Bmk MK‡V Ht@RP ‚SD‚O‚‚  ~ ‚P‚R ‚‚

@@@@@@@@@@@”36 F@Bmk MK‡V Ht@RP ‚RD‚V‚T‚‚  ~ ‚V ‚‚

@@@@@@@@@@@@@@@

@

@

@

@

‚O91


  Y.S. ‚³‚ñ @‚S‚WÎ@—«@Žå•w@ Žèp“ú 
‚Q‚O‚Q‚O”N  ‚P‚QŒŽ ‚S“úi…j@ãŠ{ ƒm[ƒxƒ‹ƒKƒCƒhŽg—p

@@@@@@@@@ãŠ{ ‚P–{@ @’x‰„‰×d

@@@@@@@@@@@”‚P‚S F  Bmk MK‡V Ht@RP ‚SD‚O‚‚  ~ ‚P‚R ‚‚

@@@@@@@@@@@

@@@@@@@@@@@@@@@

@

@

@

@

‚O92


  H.K. ‚³‚ñ @‚V‚SÎ@—«@Žå•w @Žèp“ú 
‚Q‚O‚P‚X”N  ‚WŒŽ ‚U“úi‰Îj@ãŠ{ ƒm[ƒxƒ‹ƒKƒCƒhŽg—p

@@@@@@@@@ãŠ{ ‚Q–{@ @’x‰„‰×d

@@@@@@@@@@@”‚Q‚S F  Bmk MK‡V Ht@RP ‚SD‚O‚‚  ~ ‚P‚R ‚‚

@@@@@@@@@@@”‚Q‚T F@Bmk MK‡V Ht@RP ‚RD‚V‚T‚‚  ~ ‚V ‚‚

@@@@@@@@@@@@@@@

@

@

@

@

‚O93


  K.A. ‚³‚ñ @‚T‚TÎ@—«@Žå•w@ Žèp“ú 
‚Q‚O‚P‚X”N  ‚VŒŽ ‚R‚O“úi‰Îj@‰ºŠ{ ƒm[ƒxƒ‹ƒKƒCƒhŽg—p

@@@@@@@@@‰ºŠ{ ‚P–{@ @’x‰„‰×d

@@@@@@@@@@@”‚R‚T F  Bmk MK‡V Ht@RP ‚SD‚O‚‚  ~ ‚P‚R ‚‚



@@@@@@@@@@@@@@@

@

@

@

@

‚O94


  E.K. ‚³‚ñ @‚T‚TÎ@—«@ƒWƒƒƒYƒsƒAƒjƒXƒg@ Žèp“ú 
‚Q‚O‚Q‚O”N  ‚UŒŽ ‚X“úi‰Îj@ãŠ{œ‘¢¬@CGF{AFG{ƒÀ-TCP•¹—p

@@@@@@@@@ãŠ{¶‰E‚T”ו”@ @”²Ž•{œ‘¢¬i”¼”NŒãƒCƒ“ƒvƒ‰ƒ“ƒg–„“ü—\’èj

@@@@@@@@@@@”‚P‚T F  

@@@@@@@@@@@”‚Q‚T F@


@@@@@@@@@@@@@@@

@

@

@

@

‚O95


  E.I.‚³‚ñ @‚U‚VÎ@—«@Žå•w Žèp“ú 
‚Q‚O‚Q‚O”N  ‚QŒŽ ‚P‚W“úi‰Îj@‰ºŠ{ ƒm[ƒxƒ‹ƒKƒCƒhŽg—p

@@@@@@@@@‰ºŠ{ ‚Q–{@ @’x‰„‰×d

@@@@@@@@@@@”‚S‚U F  Bmk MK‡V Ht@RP ‚SD‚O‚‚  ~ ‚P‚R ‚‚

@@@@@@@@@@@”‚S‚V F@Bmk MK‡V Ht@RP ‚RD‚V‚T‚‚  ~ ‚V ‚‚

@@@@@@@@@@@@@@@

@

@

@

@

‚O96


  E.A. ‚³‚ñ @‚V‚RÎ@’j«@Ž©‰c‹Æ Žèp“ú 
‚Q‚O‚Q‚O”N  ‚SŒŽ ‚R‚O“úi–Øj@‰ºŠ{ ƒm[ƒxƒ‹ƒKƒCƒhŽg—p

@@@@@@@@@‰ºŠ{ ‚Q–{@ @’x‰„‰×d

@@@@@@@@@@@”‚S‚S F  Bmk MK‡V Ht@RP ‚SD‚O‚‚  ~ ‚P‚R ‚‚

@@@@@@@@@@@”‚S‚U F@Bmk MK‡V Ht@RP ‚RD‚V‚T‚‚  ~ ‚V ‚‚

@@@@@@@@@@@@@@@

@

@

@

@

‚O97


  E.K. ‚³‚ñ @‚T‚TÎ@—«@ƒfƒUƒCƒi[ Žèp“ú 
‚Q‚O‚Q‚O”N  ‚UŒŽ ‚X“úi‰Îj@ãŠ{ ƒm[ƒxƒ‹ƒKƒCƒhŽg—p

@@@@@@@@@ãŠ{ ‚Q–{@ @’x‰„‰×d

@@@@@@@@@@@”‚P‚T F  Implant Direct Inter Active@RP ‚SD‚R‚‚  ~ ‚P‚PD‚T ‚‚

@@@@@@@@@@@”‚Q‚T F@Implant Direct Inter Active@RP ‚SD‚R‚‚  ~ ‚P‚O ‚‚

@@@@@@@@@@@@@@@

@

@

@

@

‚O98


  K.M. ‚³‚ñ @‚T‚RÎ@’j«@ƒgƒ‰ƒ“‚؃bƒ^[@ Žèp“ú 
‚Q‚O‚Q‚O”N  ‚VŒŽ ‚Q‚P“úi‰Îj@㉺Š{ ƒm[ƒxƒ‹ƒKƒCƒhŽg—p@Ö¬“à’ÁÕ¹—p

@@@@@@@@@ãŠ{ ‚Q–{@ ‰ºŠ{‚Q–{@’x‰„‰×d

@@@@@@@@@@@”‚P‚V F  Bmk MK‡V Ht@RP ‚SD‚O‚‚  ~ ‚P‚R ‚‚

@@@@@@@@@@@”‚Q‚V F@Bmk MK‡V Ht@RP ‚RD‚V‚T‚‚  ~ ‚V ‚‚

@@@@@@@@@@@”‚S‚UF@Bmk MK‡V Ht@RP ‚RD‚V‚T‚‚  ~ ‚V ‚‚

@@@@@@@@@@@”‚S‚V F@Bmk MK‡V Ht@RP ‚RD‚V‚T‚‚  ~ ‚V ‚‚

@@@@@@@@@@@@@@@

@

@

@

@

‚O99


  Y.K. ‚³‚ñ @‚U‚VÎ@—«@Žå•w@ Žèp“ú 
‚Q‚O‚Q‚O”N  ‚P‚PŒŽ ‚P‚O“úi‰Îj@ãŠ{ ƒm[ƒxƒ‹ƒKƒCƒhŽg—p@Ö¬“à’ÁÕ¹—p

@@@@@@@@@ãŠ{ ‚S–{@ @‘¦Žž‰×d

@@@@@@@@@@@”‚P‚Q F  Bmk MK‡V Ht@RP ‚SD‚O‚‚  ~ ‚P‚R ‚‚

@@@@@@@@@@@”‚P‚P F  Bmk MK‡V Ht@RP ‚SD‚O‚‚  ~ ‚P‚R ‚‚

@@@@@@@@@@@”‚Q‚P F  Bmk MK‡V Ht@RP ‚SD‚O‚‚  ~ ‚P‚R ‚‚

@@@@@@@@@@@”‚Q‚Q F@Bmk MK‡V Ht@RP ‚RD‚V‚T‚‚  ~ ‚V ‚‚

@@@@@@@@@@@@@@@

@

@

@

@

100


  K.K.‚³‚ñ @‚U‚OÎ@—«@ŠÅŒìŽt@ Žèp“ú 
‚Q‚O‚Q‚O”N  ‚P‚PŒŽ ‚Q‚S“úi‰Îj@‰ºŠ{ ƒm[ƒxƒ‹ƒKƒCƒhŽg—p

@@@@@@@@@‰ºŠ{ ‚P–{@ @’x‰„‰×d

@@@@@@@@@@@”‚S‚V F Implant Direct Inter Active@RP ‚SD‚O‚‚  ~ ‚P‚R‚‚

@@@@@@@@

@@@@@@@@@@@@@@@

@

@

@

@

101


  E.I. ‚³‚ñ @‚U‚VÎ@—«@Žå•w@ Žèp“ú 
‚Q‚O‚Q‚P”N  ‚QŒŽ ‚P‚U“úi‰Îj@ãŠ{ ƒm[ƒxƒ‹ƒKƒCƒhŽg—p

@@@@@@@@@ãŠ{ ‚Q–{@ @‘¦Žž‰×d

@@@@@@@@@@@”‚P‚P F  Bmk MK‡V Ht@RP ‚SD‚O‚‚  ~ ‚P‚R ‚‚

@@@@@@@@@@@”‚Q‚P F@Bmk MK‡V Ht@RP ‚RD‚V‚T‚‚  ~ ‚V ‚‚

@@@@@@@@@@@@@@@

@

@

@

@

102


  Y.S. ‚³‚ñ @‚S‚WÎ@—«@Žå•w Žèp“ú 
‚Q‚O‚Q‚O”N  ‚P‚QŒŽ ‚S“úi‰Îj@ãŠ{ ƒm[ƒxƒ‹ƒKƒCƒhŽg—p

@@@@@@@@@ãŠ{ ‚R–{@ @’x‰„‰×d

@@@@@@@@@@@”‚P‚V F  OSSTEM@US2 @RP ‚SD‚O‚‚  ~ ‚P‚R ‚‚

@@@@@@@@@@@”‚P‚U F@OSSTEM@US2 @RP ‚SD‚O‚‚  ~ ‚P‚R ‚‚

@@@@@@@@@@@”‚P‚T F  OSSTEM@US2 @RP ‚RD‚V‚T‚‚  ~ ‚V ‚‚



@@@@@@@@@@@@@@@

@

@

@

@

103


  T.F. ‚³‚ñ @‚U‚WÎ@’j«@Ž©‰c‹Æ Žèp“ú 
‚Q‚O‚Q‚P”N  ‚UŒŽ ‚S“úi‹àj@‰ºŠ{ ƒm[ƒxƒ‹ƒKƒCƒhŽg—p

@@@@@@@@@‰ºŠ{ ‚Q–{@ @’x‰„‰×d

@@@@@@@@@@@”‚R‚V F  Bmk MK‡V Ht@RP ‚SD‚O‚‚  ~ ‚P‚R ‚‚

@@@@@@@@@@@”‚R‚U F@Bmk MK‡V Ht@RP ‚RD‚V‚T‚‚  ~ ‚V ‚‚

@@@@@@@@@@@”‚S‚U F  Bmk MK‡V Ht@RP ‚SD‚O‚‚  ~ ‚P‚R ‚‚

@@@@@@@@@@@”‚S‚V F  Bmk MK‡V Ht@RP ‚SD‚O‚‚  ~ ‚P‚R ‚‚



@@@@@@@@@@@@@@@

@

@

@

@

104


  M.F. ‚³‚ñ @‚T‚TÎ@’j«@Ž©‰c‹Æ@ Žèp“ú 
‚Q‚O‚Q‚P”N  ‚XŒŽ ‚P‚V“úi…j@ãŠ{ ƒm[ƒxƒ‹ƒKƒCƒhŽg—p

@@@@@@@@@ãŠ{ ‚Q–{@ @’x‰„‰×d

@@@@@@@@@@@”‚P‚V F  Bmk MK‡V Ht@RP ‚SD‚O‚‚  ~ ‚P‚R ‚‚

@@@@@@@@@@@”‚P‚U F@Bmk MK‡V Ht@RP ‚RD‚V‚T‚‚  ~ ‚V ‚‚

@@@@@@@@@@@@@@@

@

@

@

@

105


  C.O. ‚³‚ñ @‚U‚OÎ@—«@‘“¹Žt”Í@ Žèp“ú 
‚Q‚O‚Q‚P”N  ‚P‚PŒŽ ‚R‚O“úi‰Îj@ãŠ{ ƒm[ƒxƒ‹ƒKƒCƒhŽg—p@@Ö¬“à’ÁÖ@•¹—p

@@@@@@@@@ãŠ{ ‚S–{@ @‘¦Žž‰×d

@@@@@@@@@@@”‚P‚Q F  Bmk MK‡V Ht@RP ‚SD‚O‚‚  ~ ‚P‚R ‚‚

@@@@@@@@@@@”‚P‚P F@Bmk MK‡V Ht@RP ‚RD‚V‚T‚‚  ~ ‚V ‚‚

@@@@@@@@@@@”‚Q‚P F  Bmk MK‡V Ht@RP ‚SD‚O‚‚  ~ ‚P‚R ‚‚

@@@@@@@@@@@”‚Q‚Q F  Bmk MK‡V Ht@RP ‚SD‚O‚‚  ~ ‚P‚R ‚‚

@@@@@@@@@@@

@

@

@

@

@

106


  Y.T. ‚³‚ñ @‚U‚XÎ@—«@—¿’à‚¨‚©‚Ý@ Žèp“ú 
‚Q‚O‚Q‚P”N  ‚P‚PŒŽ ‚S“úi–Øj@ãŠ{ @CGF{ƒÀ-TCP•¹—pŽèp

@@@@@@@@@ãŠ{ ‚Q–{@ @ƒCƒ“ƒvƒ‰ƒ“ƒgœ‹Ž{œ‘¢¬

@@@@@@@@@@@”‚P‚VF  Bmk MK‡V Ht@RP ‚SD‚O‚‚  ~ ‚P‚R ‚‚

@@@@@@@@@@@”‚P‚T F@Bmk MK‡V Ht@RP ‚RD‚V‚T‚‚  ~ ‚V ‚‚

@@@@@@@@@@@@@@@

@

@

@

@

107


  M.K. ‚³‚ñ @75Î@—«@ƒCƒ“ƒeƒŠƒAƒR[ƒfƒBƒl[ƒ^[@ Žèp“ú 
‚Q‚O‚Q‚Q”N  ‚VŒŽ ‚Q‚X“úi‹àj@ãŠ{ ƒm[ƒxƒ‹ƒKƒCƒhŽg—p@@Ö¬“à’ÁÖ@•¹—p
@CGF{ƒÀ-TCP•¹—p

@@@@@@@@@ãŠ{ ‚U–{@ @IPƒCƒ“ƒvƒ‰ƒ“ƒg‚𕹗p‚µ‚½’x‰„‰×d

@

@@@@@@@@@@@”‚P‚R F  Nobel  Active@NP Ti Ultra@‚RD‚T ‚‚  ~ ‚P‚T ‚‚   

@@@@@@@@@@@”‚P‚Q F  Nobel  Active@NP Ti Ultra@‚RD‚T ‚‚  ~ ‚P‚T ‚‚   

@@@@@@@@@@@”‚Q‚Q F 
Nobel  Active@NP Ti Ultra@‚RD‚T ‚‚  ~ ‚P‚T ‚‚   

@@@@@@@@@@@”‚P‚R F  Nobel  Active@NP Ti Ultra@‚RD‚T ‚‚  ~ ‚P‚T ‚‚    

@@@@@@@@@@@”‚Q‚T F  Nobel  Active@NP Ti Ultra@‚RD‚T ‚‚  ~ ‚P‚T ‚‚        

@@@@@@@@@@@”‚Q‚V F  Nobel  Replace Conical Connection PMC  RP ‚SD‚R ‚‚  ~ ‚P‚O ‚‚

@@@@@@@@@@@
@@@@@@@@@@@@@@@

@

@

@

@

108


  K.T. ‚³‚ñ @‚W‚QÎ@’j«@Œ³’nŒ³‹âs“ªŽæ@ Žèp“ú 
‚Q‚O‚Q‚Q”N  ‚WŒŽ ‚Q“úi‰Îj@‰ºŠ{ ƒm[ƒxƒ‹ƒKƒCƒhŽg—p@@Ö¬“à’ÁÖ@•¹—p
@CGF{ƒÀ-TCP•¹—p

@@@@@@@@@‰ºŠ{ ‚W–{@ IPƒCƒ“ƒvƒ‰ƒ“ƒg‚𕹗p‚µ‚½A’x‰„‰×d
@@

@@@@@@@@@@@”‚R‚V F  Nobel  ‚f‚’‚‚‚–‚™@RP ‚SD‚O ‚‚  ~ ‚P‚O ‚‚   

@@@@@@@@@@@”‚R‚U F  Nobel Parallel Conical Connection  ‚q‚o ‚TD‚O ‚‚  ~ ‚P‚O ‚‚

@@@@@@@@@@@”‚R‚T F  Nobel Replace Conical Connection PMC  ‚q‚o ‚SD‚R ‚‚  ~ ‚P‚PD‚T ‚‚

@@@@@@@@@@@”‚R‚Q F  Nobel Replace Conical Connection ‚s‚‰U‚Œ‚”‚’‚ ‚m‚o ‚RD‚T ‚‚  ~ ‚P‚U ‚‚

@@@@@@@@@@@”‚S‚Q F  Nobel Replace Conical Connection ‚s‚‰U‚Œ‚”‚’‚ ‚m‚o ‚RD‚T ‚‚  ~ ‚P‚U ‚‚

@@@@@@@@@@@”‚S‚T F 
Nobel  ‚f‚’‚‚‚–‚™@RP ‚SD‚O ‚‚  ~ ‚P‚O ‚‚   

@@@@@@@@@@@”‚S‚U F  Nobel  ‚f‚’‚‚‚–‚™@RP ‚SD‚O ‚‚  ~ ‚P‚O ‚‚   

@@@@@@@@@@@”‚S‚V F  Nobel  ‚f‚’‚‚‚–‚™@RP ‚SD‚O ‚‚  ~ ‚P‚O ‚‚   


@@@@@@@@@@@

@

@

@

@

109


  H.O. ‚³‚ñ @5‚XÎ@’j«@Ž©‰c‹Æ@ Žèp“ú 
‚Q‚O‚Q‚Q”N  ‚XŒŽ ‚P‚Q“úiŒŽj@‰ºŠ{ ƒm[ƒxƒ‹ƒKƒCƒhŽg—p   CGF{ƒÀ-TCP•¹—pŽèp

@@@@@@@@@‰ºŠ{@‚P–{@ @’x‰„‰×d

@@@@@@@@@@@”‚R‚UF  I‚plant Direct  Inter Active SBM ‚TD‚O ‚‚  ~ ‚W ‚‚

@@@@@@@@@@
@@@@@@@@@@@@@@@

@

@

@

@

110


  N.H. ‚³‚ñ @5‚XÎ@’j«@Ž©‰c‹Æ@ Žèp“ú 
‚Q‚O‚Q‚Q”N  ‚P‚QŒŽ ‚P‚R“úi‰Îj@ãŠ{ ƒm[ƒxƒ‹ƒKƒCƒhŽg—p   CGF{ƒÀ-TCP•¹—pŽèp@Ö¬“à’ÁÕ¹—p

@@@@@@@@@ãŠ{@‚R–{@ @’x‰„‰×d

@@@@@@@@@@@”‚P‚U F  Nobel Replace Conical Connection PMC  RP ‚TD‚O ‚‚  ~ ‚WD‚T ‚‚   

@@@@@@@@@@@”‚P‚T F  Bmk@MK ‡V ‚q‚o ‚SD‚O ‚‚  ~ ‚P‚T ‚‚

@@@@@@@@@@@”‚P‚S F  Nobel Replace Conical Connection PMC  ‚q‚o ‚SD‚R ‚‚  ~ ‚P‚R ‚‚

@@@@@@@@@@
@@@@@@@@@@@@@@@

@

@

@

@

111


  T.T. ‚³‚ñ @5‚XÎ@—«@Œö–±ˆõ@ Žèp“ú 
‚Q‚O‚Q‚R”N  ‚PŒŽ ‚P‚V“úi‰Îj@‰ºŠ{ ƒm[ƒxƒ‹ƒKƒCƒhŽg—p

@@@@@@@@@‰ºŠ{@‚P–{@ @’x‰„‰×d

@@@@@@@@@@@”‚R‚UF  Nobel Replace Conical Connection PMC@RP  ‚SD‚R ‚‚  ~ ‚P‚O ‚‚

@@@@@@@@@@

@@@@@@@@@@@@@@@

@

@

@

@

@

112


  Y.N. ‚³‚ñ @‚U‚OÎ@’j«@Ž©‰c‹Æ@ Žèp“ú 
‚Q‚O‚Q‚R”N  ‚QŒŽ ‚Q‚P“úi‰Îj@‰ºŠ{ ƒm[ƒxƒ‹ƒKƒCƒhŽg—p

@@@@@@@@@‰ºŠ{@‚Q–{@ @’x‰„‰×d

@@@@@@@@@@@”‚R‚UF  I‚plant Direct Inter Active@RP  ‚TD‚O ‚‚  ~ ‚P‚O ‚‚

@@@@@@@@@@@”‚S‚UF  I‚plant Direct Inter Active@RP  ‚TD‚O ‚‚  ~ ‚P‚O ‚‚

@@@@@@@@@@@@@@@

@

@

@

@

@

113


  M.M. ‚³‚ñ @5‚XÎ@—«@Ž©‰c‹Æ@ Žèp“ú 
‚Q‚O‚Q‚R”N  ‚XŒŽ ‚Q‚X“úi‹àj@㉺Š{ ƒm[ƒxƒ‹ƒKƒCƒhŽg—p@Ö¬“à’ÁÕ¹—p

@@@@@@@@@ãŠ{@‚X–{@@’x‰„‰×d  IPƒCƒ“ƒvƒ‰ƒ“ƒg‚S–{•¹—p@‘OŽ••”ƒvƒƒr

@@@@@@@@@‰ºŠ{@‚S–{@  ’x‰„‰×d

@@@@@@@@@@@”‚P‚VF  Nobel Speedy Groovy@RP  ‚SD‚O ‚‚  ~ ‚P‚O ‚‚

@@@@@@@@@@@”‚P‚UF  Nobel Speedy@Sho‚’ty@RP  ‚SD‚O ‚‚  ~  ‚V ‚‚

@@@@@@@@@@@”‚P‚SF  Nobel Speedy Groovy@RP  ‚SD‚O ‚‚  ~ ‚P‚O ‚‚

@@@@@@@@@@@”‚P‚QF  Nobel Speedy Groovy@RP  ‚SD‚O ‚‚  ~ ‚P‚W ‚‚

@@@@@@@@@@@”‚Q‚PF  Nobel Speedy Groovy@RP  ‚SD‚O ‚‚  ~ ‚P‚W ‚‚

@@@@@@@@@@@”‚Q‚RF  Osstem@US2@RP  ‚SD‚O ‚‚  ~ ‚P‚T ‚‚

@@@@@@@@@@@”‚Q‚SF  Nobel Speedy@Sho‚’ty@RP  ‚SD‚O ‚‚  ~  ‚V ‚‚

@@@@@@@@@@@”‚Q‚UF  Nobel Replace Conical Connection ‚s‚h‚t‚Œ‚”‚’a@RP  ‚SD‚R ‚‚  ~ ‚W ‚‚

@@@@@@@@@@@”‚Q‚VF  Nobel Speedy Groovy@RP  ‚SD‚O ‚‚  ~ ‚P‚PD‚T ‚‚

@

@@@@@@@@@@@”‚S‚VF  Nobel Replace Conical Connection ‚s‚h‚t‚Œ‚”‚’a@RP  ‚TD‚O ‚‚  ~ ‚W ‚‚

@@@@@@@@@@@”‚S‚UF  Nobel Replace Conical Connection ‚s‚h‚t‚Œ‚”‚’a@RP  ‚TD‚O ‚‚  ~ ‚W ‚‚

@@@@@@@@@@@”‚R‚UF  Nobel Replace Conical Connection ‚s‚h‚t‚Œ‚”‚’a@RP  ‚SD‚R ‚‚  ~ ‚W ‚‚

@@@@@@@@@@@”‚R‚UF  Nobel Replace Conical Connection ‚s‚h‚t‚Œ‚”‚’a@‚mP  ‚RD‚T ‚‚  ~ ‚W ‚‚

@@@@@@@@@@

@@@@@@@@@@@@@@@

@

@

@

@

@

114


  T.M. ‚³‚ñ @‚V‚UÎ@—«@Œ³‘åŠw•a‰@ŠÅŒìŽt@ Žèp“ú 
‚Q‚O‚Q‚R”N  ‚XŒŽ ‚P‚T“úi‹àj@ãŠ{ ƒm[ƒxƒ‹ƒKƒCƒhŽg—p@Ö¬“à’ÁÕ¹—p

@@@@@@@@@ãŠ{@‚S–{@ @’x‰„‰×d@IPƒCƒ“ƒvƒ‰ƒ“ƒg‚R–{•¹—p@‘OŽ••”ƒvƒƒr

@@@@@@@@@@@”‚P‚RF  Branemark@System@MK‡V@‚s‚h‚tnite@RP  ‚RD‚V‚T ‚‚  ~ ‚P‚R ‚‚@

@@@@@@@@@@@”‚P‚PF  Inplant Direct Inter Active@RP  ‚SD‚R ‚‚  ~ ‚P‚R ‚‚

@@@@@@@@@@@”‚Q‚PF  Branemark@System@MK‡V@‚s‚h‚tnite@RP  ‚RD‚V‚T ‚‚  ~ ‚P‚R ‚‚

@@@@@@@@@@@”‚Q‚RF  Inplant Direct Inter Active@RP  ‚SD‚R ‚‚  ~ ‚P‚R ‚‚

@@@@@@@@@@
@@@@@@@@@@@@@@@

@

@

@

@

@

115


  M.T. ‚³‚ñ @5‚UÎ@—«@‰ïŽÐˆõ@ Žèp“ú 
‚Q‚O‚Q‚S”N  ‚P‚OŒŽ ‚P‚W“úi‹àj@‰ºŠ{ ƒm[ƒxƒ‹ƒKƒCƒhŽg—p

@@@@@@@@@‰ºŠ{@‚P–{@ @’x‰„‰×d

@@@@@@@@@@@”‚R‚UF  Nobel Replace Conical Connection ‚s‚h‚t‚Œ‚”‚’a@RP  ‚TD‚O ‚‚  ~ ‚W ‚‚

@@@@@@@@@@

@@@@@@@@@@@@@@@

@

@

@

@

@

116


  Y.H. ‚³‚ñ @‚V‚TÎ@—«@Žå•w@ Žèp“ú 
‚Q‚O‚Q‚S”N  ‚P‚QŒŽ ‚P‚Q“úi–Øj@ãŠ{ ƒm[ƒxƒ‹ƒKƒCƒhŽg—p@Ö¬“à’ÁÕ¹—p

@@@@@@@@@ãŠ{@‚S–{@ @’x‰„‰×d

@@@@@@@@@@@”‚Q‚TF  Branemark@System@MK‡V@‚s‚h‚tnite@RP  ‚RD‚V‚T ‚‚  ~ ‚P‚O ‚‚@

@@@@@@@@@@@”‚Q‚UF  Branemark@System@MK‡V@‚s‚h‚tnite@RP  ‚RD‚V‚T ‚‚  ~ ‚V ‚‚@

@@@@@@@@@@@”‚Q‚VF  Branemark@System@MK‡V@‚s‚h‚tnite@RP  ‚RD‚V‚T ‚‚  ~ ‚V ‚‚@

@@@@@@@@@@@”‚Q‚WF  Branemark@System@MK‡V@‚s‚h‚tnite@RP  ‚SD‚O ‚‚  ~ ‚V ‚‚@@@@@@@@@@@



@@@@@@@@@@@@@@@

@

@

@

@

@

117


  R.K. ‚³‚ñ @5‚XÎ@—«@‰ïŽÐˆõ@ Žèp“ú 
‚Q‚O‚Q5”N  ‚PŒŽ ‚P‚V“úi‰Îj@㉺Š{ ƒm[ƒxƒ‹ƒKƒCƒhŽg—p@Ö¬“à’ÁÕ¹—p

@@@@@@@@@ãŠ{@‚U–{@ @‘¦Žž‰×d@Šù‘¶ƒCƒ“ƒvƒ‰ƒ“ƒg˜AŒ‹ƒvƒƒr

@@@@@@@@@‰ºŠ{@‚P–{@ @’x‰„‰×d



@@@@@@@@@@@”‚P‚UF  Nobel Speedy@Sho‚’ty@RP  ‚SD‚O ‚‚  ~  ‚V ‚‚

@@@@@@@@@@@”‚P‚TF  Nobel Speedy@Sho‚’ty@RP  ‚SD‚O ‚‚  ~  ‚V ‚‚

@@@@@@@@@@@”‚P‚SF  Nobel Speedy@Sho‚’ty@RP  ‚SD‚O ‚‚  ~  ‚V ‚‚

@@@@@@@@@@@”‚P‚RF  Nobel  Active@‚s‚h‚t‚Œ‚”‚’a@NP ‚RD‚T ‚‚  ~ ‚P‚T ‚‚

@@@@@@@@@@@”‚P‚P F  Nobel  Active@‚s‚h‚t‚Œ‚”‚’a@NP ‚RD‚T ‚‚  ~ ‚P‚T ‚‚     

@@@@@@@@@@@”‚Q‚Q F  Nobel  Active@‚s‚h‚t‚Œ‚”‚’a@NP ‚RD‚T ‚‚  ~ ‚P‚W ‚‚

@@@@@@@@@@@”‚Q‚S F  Nobel  Active@‚s‚h‚t‚Œ‚”‚’a@NP ‚RD‚T ‚‚  ~ ‚P‚T ‚‚  

@@@@@@@@@@@”‚Q‚S F  Nobel  Active@RP ‚SD‚R ‚‚  ~ ‚P‚W ‚‚     @

@@@@@@@@@@@”‚Q‚TF  Nobel Replace Conical Connection ‚s‚h‚t‚Œ‚”‚’a@RP  ‚SD‚R ‚‚  ~ ‚W ‚‚

@@@@@@@@@@@”‚Q‚VF  Nobel Replace Conical Connection ‚s‚h‚t‚Œ‚”‚’a@RP  ‚TD‚O ‚‚  ~ ‚P‚O ‚‚

@@@@@@@@@@

@@@@@@@@@@@”‚R‚TF  Nobel Replace Conical Connection ‚s‚h‚t‚Œ‚”‚’a@RP  ‚SD‚R ‚‚  ~ ‚P‚O ‚‚

@@@@@@@@@@@”‚R‚UF  Replace@Select@Tapered@‚s‚h‚tnite@RP  ‚SD‚R ‚‚  ~ ‚W ‚‚

@@@@@@@@@@@”‚R‚VF  Replace@Select@Tapered@‚s‚h‚tnite@RP  ‚SD‚R ‚‚  ~ ‚W ‚‚



@@@@@@@@@@@@@@@

@

@

@

@

@